Skip to content
RD Dental College
RANJEET DESHMUKH DENTAL COLLEGE & RESEARCH CENTRE, NAGPUR-440019
(Formerly, VSPM Dental College and Research Centre)
Recognized by Dental Council of India, Affiliated to Maharashtra University of Health Science, Nashik
(NAAC Accredited & ISO 21001:2018 Certified)
Home
About
Infrastructure
Visionaries
Best Practices
Code Of Conduct
Public Disclosures
Distinctive Practice
Programs
B. D. S
M. D. S
PhD
MUHS Affiliated Fellowship Course
Oral Implantology
Aesthetic and Cosmetic Dentistry
Departments
Oral & Maxillofacial Surgery
Periodontology
Prosthodontics
Oral Medicine & Radiology
Public Health Dentistry
Oral & Maxillofacial Pathology
Orthodontics & Dentofacial Orthopedics
Pediatric & Preventive Dentistry
Conservative Dentistry & Endodontics
IQAC
About
SSR
Meetings
Curriculum Feedback Report
Accreditation
NAAC
AQAR Report
NIRF
2026
Cateogory Research (Overall)
Cateogory Dental
Cateogory SDG
2025
Cateogory Research (Overall)
Cateogory Dental
Cateogory SDG
2024
2023
ISO
Research
About
Policy
Projects
Publications
ORCID
Copyright and Patents
MoU’s
Activities conducted by BORS
2024-25
2023-24
2022-23
Grants
Proformas/Forms
IEC
Innovation and Incubation Cell
MUHS Mandate
2022-23
2023-24
2024-25
2025-26
2026-27
Student Support
Anti-Ragging
Student Grievance Redressal
Alumni
Student Council
Sarathi Mentorship Program
Capability Enhancement & Development Schemes
Guidance Cell
Admission 2025-26
Admission PhD 2024-25
Admission M.D.S. 2025-26
UG/BDS Admission 2025-26
Admission Fellowship
X
HSET
About Us
DET Journal
Past Activities
Upcoming Activities
Innovative Practices
Achievements Awards & Recognition
Publications & Research by Faculty
ICC
Gallery
Academic
Academic Calender
Value added/ Add on course
Resources
E-Resources
Library
ILMS
LMS
JADPR
VISA
Commemorative Days
DET Journal
Home
About
Infrastructure
Visionaries
Best Practices
Code Of Conduct
Public Disclosures
Distinctive Practice
Programs
B. D. S
M. D. S
PhD
MUHS Affiliated Fellowship Course
Oral Implantology
Aesthetic and Cosmetic Dentistry
Departments
Oral & Maxillofacial Surgery
Periodontology
Prosthodontics
Oral Medicine & Radiology
Public Health Dentistry
Oral & Maxillofacial Pathology
Orthodontics & Dentofacial Orthopedics
Pediatric & Preventive Dentistry
Conservative Dentistry & Endodontics
IQAC
About
SSR
Meetings
Curriculum Feedback Report
Accreditation
NAAC
AQAR Report
NIRF
2026
Cateogory Research (Overall)
Cateogory Dental
Cateogory SDG
2025
Cateogory Research (Overall)
Cateogory Dental
Cateogory SDG
2024
2023
ISO
Research
About
Policy
Projects
Publications
ORCID
Copyright and Patents
MoU’s
Activities conducted by BORS
2024-25
2023-24
2022-23
Grants
Proformas/Forms
IEC
Innovation and Incubation Cell
MUHS Mandate
2022-23
2023-24
2024-25
2025-26
2026-27
Student Support
Anti-Ragging
Student Grievance Redressal
Alumni
Student Council
Sarathi Mentorship Program
Capability Enhancement & Development Schemes
Guidance Cell
Admission 2025-26
Admission PhD 2024-25
Admission M.D.S. 2025-26
UG/BDS Admission 2025-26
Admission Fellowship
HSET
About Us
DET Journal
Past Activities
Upcoming Activities
Innovative Practices
Achievements Awards & Recognition
Publications & Research by Faculty
ICC
Gallery
Academic
Academic Calender
Value added/ Add on course
Resources
E-Resources
Library
ILMS
LMS
JADPR
VISA
Commemorative Days
DET Journal
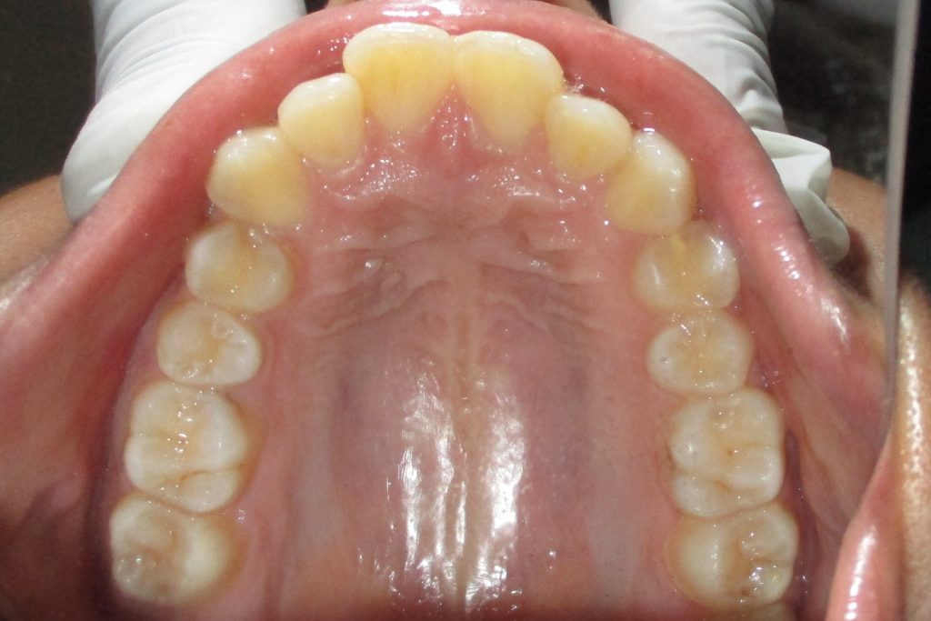
Before (Maxillary)
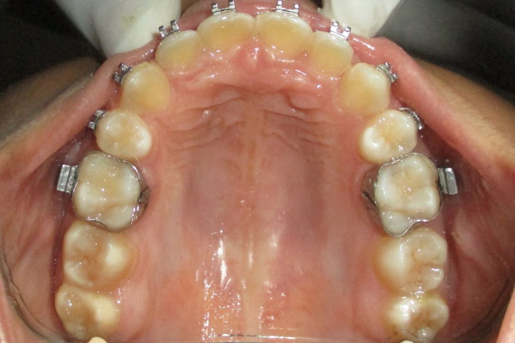
After ( Maxillary)
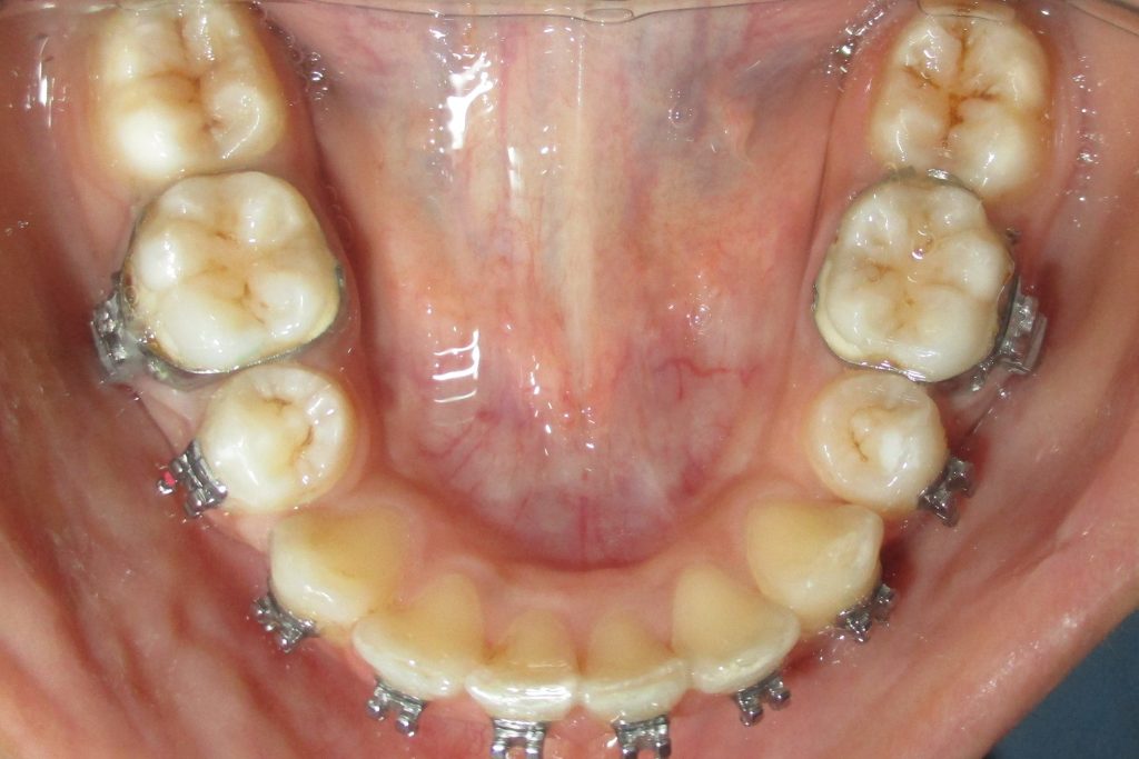
Before (Mandibular)
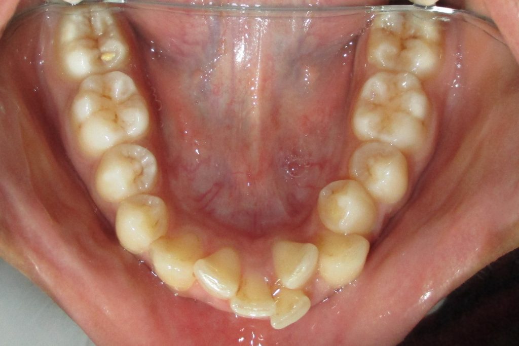
After ( Mandibular)
Accessibility Toolbar
close
Toggle the visibility of the Accessibility Toolbar
keyboard
Keyboard Navigation
visibility_off
Disable Animations
nights_stay
Contrast
format_size
Increase Text
text_fields
Decrease Text
font_download
Readable Font
title
Mark Titles
link
Highlight Links & Buttons
Scroll to Top