Pediatric and Preventive Dentistry
DEPARTMENT OVERVIEW
We at the Department of Pediatric & Preventive Dentistry focus on comprehensive oral health care needs of a child from infancy to adulthood and provide comprehensive, therapeutic as well as preventive care to all children including those with special care needs.
Since most of the dental diseases and oral health problems have their origin in childhood the department believes strongly in preventive care in the form of anticipatory guidance, school oral health programs (Nanhe Kadam), educating parents and children through a dedicated oral hygiene bay in the department. Providing affordable quality care and healthy smiles for all is the goal of the department and all the programs of the department are directed to achieve the same.
FACULTY
- Successfully organised an Advanced Endodontic workshop from 29th Jan to 31st Jan 2020. Dr. Vivek Hegde was the Speaker and Mentor. Total 8 candidates participated.
- Successfully organised Cons-Endo Week by the Department from 1st – 6th March.
- Organised an online scientific series “One Month One Hour – E-link Fest 2020” from 1st to 30th July 2020 with 26 eminent global speakers covering Endodontics, Restorative Dentistry, Research protocols and wellness topics.
- Organised webinar “Heat of Pandemic, Metamorphosis of Dentistry: Play it Safe” by Dr. Vivek Hegde in collaboration with the Infection Control Committee, VSPM’s DCRC on 9th Nov 2020.
- Total 10 books published by the department in 2020:
- Contribution to Textbook of Endodontics (EMMESS)
- Contribution to Essentials of Preclinical of Conservative Dentistry (Wolters Kluwer)
- Recent Advances in Armamentarium of Shaping & Cleaning (Lambert Academic Publishing)
- Veneers (Lambert Academic Publishing)
- Adhesion to Tooth Structure (Lambert Academic Publishing)
- Restoration of Endodontically Treated Teeth (Lambert Academic Publishing)
- Vital Pulp Therapy (Sara Book Publication)
- Endo Perio Relationship (Lambert Academic Publishing)
- Dental Age Estimation in Adults (Lambert Academic Publishing)
- Endodontic Retreatment – Success or Failure of Endodontic Therapy (Kindle Publication)
- Patent granted by Government of India – Unique pouch for sterilization and storage of dental instruments
- Registered 4 patents for research with the Government of India: Unique method for target X-ray (2024), Gypsum products in dentistry and its environmental hazards (2019), Herbal Decontamination of Toothbrush (Idea Patent) 2018, GP Herbacare (2018)
- Invited national speaker at various specialty conventions, national conferences, and local IDAs
- Examiner and Paper Setter at various prestigious universities across India
- Recognized Ph.D. Guide at MUHS, currently guiding 8 Ph.D. scholars
- Chairperson for scientific sessions at various PG conferences and conventions
- Member of various university committees and boards: Member of Local Inspection Committee, MUHS, Nashik; Member of the Staff Selection Committee at MUHS
- Radio talks broadcast on All India Radio: 4
- Doordarshan talk on “Arogya Dhan Sampada” program
- Final year Nagpur University topper, 1990
- 1st Prize at AVISHKAR 2015, MUHS Nashik
- Best Individual Performer Award at VSPMS Annual AWARD, 2015
- Best Individual Performer Award at VSPM’s Annual AWARD, 2014
- Awarded as a National Faculty at International Dental Students Congress 5.0, 2020
- Invited as a scientific moderator at 12th IFEA World Endodontic Online Congress, 2020 and Kaleidoscope – a virtual conference by Army College of Dental Sciences with IACDE, 2020
- Chairperson for 3-day online workshop for Ph.D. scholars, organized by Ph.D. Cell, VSPM Dental College & Research Centre, Nov 2020
- Moderator for 1st MDS PG Orientation Program organized by IACDE, 30 Nov – 1 Dec 2020
- Hosted the first-ever webinar series in endodontics (2014) and regional Endodontic conference (2012)
- Hosted month-long online ELink Fest in 2020, 2021, and 2022 (“One Hour, One Month”)
- Pioneer in establishing an Endoherb Garden (2012)
- Developed Patient Management Software for Endodontic Practice – “Archivist”
- Reviewer for esteemed Indian and International journals, including Endodontology, JCD, and JIDR
- First-ever Lady President of GDCH, Nagpur
- Nagpur University topper in final BDS
- Publications: 104
- PubMed Indexed: 20
- Patents: 5
- Copyrights: 10
- Textbooks: 5
- Chapters in Book: 11
▼
- Signed MOU with Government of Maharashtra for the sealant program in Chandrapur District.
- Won 1st consolation prize for children’s day (week) celebration contest and 3rd prize in ‘Short awareness video’ category at National level by Indian Society of Pedodontics Preventive Dentistry, December 2020.
- Organized the pre-conference courses for Pedocon 2018 National conference of ISPPD.
- Conducted the Inaugural function of Pedocon 2018 National conference of ISPPD
▼
- E-Book published on Restorative materials in Pediatric Dentistry (Lambert Academic Publishing) on 11th June 2025.
- Faculty for PCC at 20th PG Convention at ISPPD Dehradun February 2024
- Faculty for Dental Photography at IDA Yavatmal and Pusad July 2024
- Guest lecture on ‘Dental Photography Simplified’ at 44th ISPPD National Conference, Ahmedabad 2023.
- Chapter contribution to textbook ‘Illustrated Pediatric Dentistry Part 4’ Bentham Books ISBN 978-981-5080-841
- Data of published article featured on cover page of Journal of Acupuncture and Meridian Studies 2023.
- Emerging speaker award at 61st Maharashtra State Dental Conference Amravati 2022
- Received a copyright for work titled, ‘CLINICAL DENTAL PHOTOGRAPHY SETTINGS SIMPLIFIED’ dated 10th May 2022, from Copyright office, Govt. Of India.
- Resource person for value added course, ‘Behaviour management in Pediatric Dentistry’ by Department of Pediatric Dentistry, DY Patil, Deemed to be University, School of Dentistry, Navi Mumbai.
- Guest lecture on the topic of ‘Dental photography Equipment and Basics’ at the ‘Dr. R Ahmed Centenary Celebration Dental Education Webinar series on 21st Nov 2020’ hosted by Indian Dental Association National Branch
- Selected in top 20 in the International Dental Photography Calendar 2019 Competition by Dental Photography School
- Awarded 3rd Prize at Dental Photography International Calendar for 2018 by Dental Photography School
▼
- E-Book published on Silver Diamine Fluoride (Lambert Academic Publishing) on 28th March 2025
- EC member in Indian Society of Pediatric and Preventive Dentistry 2023–2024
- International Patent (IP Australia) granted for an invention entitled: “Oral wipe and its method of manufacturing thereof”, 2nd July 2021 from The Commissioner of Patent, Australian Government.
- Guest Speaker at NAMMA PEDO – National Conference at Bangalore 2024
- Guest lecture on ‘Connecting with children – the EQ way’ at 44th ISPPD National Conference, Ahmedabad 2023.
- Copyright for a video titled, ‘USE OF ORAL HERBAL WIPES FOR ORAL HYGIENE IN CHILDREN: A STUDY PROTOCOL’ from office GOI.
- Conducted LIC inspection as per circular dated 15/03/23 by MUHS at HCG NCHRI Cancer centre, Nagpur
- Contributed a book chapter in Medical jurisprudence – forensics, toxicology, necrophilia and graphology. Whitessmann publishing.
- Won 1st prize in e-poster competition held in Dentocon 3 online conference held by the Faculty of Dentistry, Jamia Millia Islamia in collaboration with IESRF in March 2023
- MOC for inaugural function in Pedocon, 40th ISPPD National Conference Nagpur Oct 2018
- Organizing secretary for Silver jubilee celebrations of the VSPM DCRC 2023.
▼
- E-Book published on Silver Diamine Fluoride (Lambert Academic Publishing) on 28th March 2025
- EC member in Indian Society of Pediatric and Preventive Dentistry 2023–2024
- International Patent (IP Australia) granted for an invention entitled: “Oral wipe and its method of manufacturing thereof”, 2nd July 2021 from The Commissioner of Patent, Australian Government.
- Guest Speaker at NAMMA PEDO – National Conference at Bangalore 2024
- Guest lecture on ‘Connecting with children – the EQ way’ at 44th ISPPD National Conference, Ahmedabad 2023.
- Copyright for a video titled, ‘USE OF ORAL HERBAL WIPES FOR ORAL HYGIENE IN CHILDREN: A STUDY PROTOCOL’ from office GOI.
- Conducted LIC inspection as per circular dated 15/03/23 by MUHS at HCG NCHRI Cancer centre, Nagpur
- Contributed a book chapter in Medical jurisprudence – forensics, toxicology, necrophilia and graphology. Whitessmann publishing.
- Won 1st prize in e-poster competition held in Dentocon 3 online conference held by the Faculty of Dentistry, Jamia Millia Islamia in collaboration with IESRF in March 2023
- MOC for inaugural function in Pedocon, 40th ISPPD National Conference Nagpur Oct 2018
- Organizing secretary for Silver jubilee celebrations of the VSPM DCRC 2023.
▼
- Resource person for virtual talk titled, ‘All about Healthy Teeth’ for school teachers of DPS Kamptee road on 8th Dec 2021.
- Received 1st prize for best paper in faculty category at national conference of Indian Society of Pediatric and Preventive Dentistry, Pedodisha 2021
- Research Paper presentation on “Content analysis of smartphone apps promoting toothbrushing for children” at 15th Virtual Congress of the European Academy of Paediatric Dentistry, 3rd July 2020.
- Research Paper presentation on “Global Interest in Mouthwashes as a Preventive Measure in the Covid-19 Pandemic Scenario: An Infodemiology Analysis” at IAPD2020 virtual congress of International Association of Pediatric Dentistry, 13th–17th September 2020.
- Presented research paper at IADR oral health research conference at Vienna, Austria on 21st September 2017
- Selected for MUHS LTRG presentation for research 2017
- Emerging young talent award at VSPMDCRC January 2017
- Cleared Academy of Laser Dentistry, USA exam Feb 2017
- National Institute of Epidemiology & ICMR certification for Health Research Fundamentals received an elite category 2016
- Selected as Editorial board member of JISPPD 2016 onwards
▼
- Guest speaker in add on course “Advanced Minimally Invasive Pediatric Dentistry” 27th December 2023
- Received copyright for a video titled ‘Doodh k danto ke danto ke prati soch badlo’ from Copyright office GOI on 30/12/2021
- Resource person for lecture on, ‘Oral health of Children’ for Anganwadi workers, 8th Dec 2021.
- Lecture for parents coming to anganwadis on the topic “Know Your Pediatric Dentist” in November 2020
▼
- E-Book published on Non-nutritive sucking habit (Lambert Academic Publishing) on 22nd February 2025.
- 1st prize poster presentation “My Health My Right” competition held by Department of Pediatric and Preventive Dentistry, RDDCRC, Nagpur on 8th April 2024
- Guest speaker in add on course “Advanced Minimally Invasive Pediatric Dentistry” 27th December 2023
- Received copyright for a work titled ‘Create Awareness and Improve Oral Health in Hearing and Visually Impaired Population’ dated 7th July 2023, from Copyright office, Govt. of India
- Received copyright for a work titled ‘Aaplyaa Moukhik Aarogyabadhal Braille Dware Shiku ya!’ dated 1st August 2023, from Copyright office, Govt. of India
- Resource person for Infant Oral Awareness Program for Anganwadi workers held on 7th December 2022.
▼
- E-Book published on Contemporary Understanding of Management of Avulsed Tooth (Lambert Academic Publishing) on 5th February 2025.
- Received copyright for work titled “Accupressure for orofacial pain” dated 21st January 2025 from Copyright Office, Govt. of India.
- 1st prize poster presentation “My Health My Right” competition held by Department of Pediatric and Preventive Dentistry, RDDCRC, Nagpur on 8th April 2024
▼
- Received copyright for work titled “Comparative evaluation of antibacterial efficacy of pit and fissure sealants incorporated with 38 percent SDF and conventional pit and fissure sealants on streptococcus mutans: A study protocol” dated 16th April 2025 from Copyright Office, Govt. of India.
- E-Book published on Smart Materials in Pediatric Dentistry (Lambert Academic Publishing) on 6th February 2025
Students Achievements
▼
- Abstract tilted “Ozone therapy in paediatric dentistry” has been published in Journal of Indian society of Pedodontics and Preventive Dentistry 2024
▼
- Received copyright for work title “Effect of frequently consumed beverages on color stability and surface roughness of zirconia and bioflex crown: “an in vitro study” Dated 30th April 2024 from copyright office, Govt of India
▼
- Received copyright for work titled “Comparative evaluation of instrumentation, quality of obturation and post operative pain using kedo S Plus and Pro AF baby gold file system for primary molar: Randomized controlled trail” Dated 7 November 23 from copyright office, Govt
of India - 1st prize in poster presentation titled “My health my right” from Department of Public Health dentistry RDDCRC dated 8 April 2024
▼
- Received Copyright for work title “Comparative evaluation of retention of pit and fissure sealant with and without application of 38% SDF in 6-8 year old children: “An in vivo study” Dated 12 June 2024 from copyright office, Govt of India
- 1st prize in poster presentation titled “My health my right” from Department of Public Health dentistry RDDCRC dated 8 April 2024</li
- Received Copyright for work title “ comparative evaluation of crown therapy and conventional behavioural management technique among 6-8 year old children during local anesthesia injection. Dated 12 June 2024 from copyright office, Govt of India
▼
- Review Article “Local Anaesthesia in paediatric dentistry : A narrative review published in journal of Indian Dental Association 2024
▼
- Review Article “ Local Anesthesia in pediatric dentistry : A narrative
review published in journal of Indian Dental Association 2024
▼
- Received a copyright for work titled “COMPARATIVE evaluation of efficacy of lidocaine gel and lidocaine ice button as topical anesthesia for maxillary buccal infiltration technique in children aged 6-10 years : a randomized cross over study” Dated 26/9/23 from copyright office , Govt of India.
- Case report titled “ Management of traumatic anterior tooth with vital pulp using MTA pulpotomy in 10year old child –A case report has been published in journal of Indian Dental Association 2024
- Review Article “ Local Anaesthesia in paediatric dentistry : A narrative review published in journal of Indian Dental Association 2024
▼
- Won 1st prize for best e-paper in student category at national conference of Indian Society of Pediatric and Preventive Dentistry, Pedodisha 2021
▼
- Received copyright for a video titled, ‘ USE OF NOVEL HERBAL LOLLIPOPS FOR CARIES PREVENTION IN CHILDREN: A STUDY PROTOCOL from office GOI.
▼
- Final Year PG, Awarded‘1st Prize’ in E-Poster Competition, PG Category. On the topic ‘3-D Printing and it’s Applications in Pediatric Dental Practice’ at NIDACON 2022 organised by Indian Dental Association, Nagpur Branch 8th -10th April 2022
- Won 1st prize in Intercollegiate E poster competition on 6th International Yoga day 21st June 2020.
▼
- Data of published article featured on cover page of Journal of Acupuncture and Meridian Studies 2023.
- Received a copyright for work titled, ‘Use of acupressure at EXTRA ONE point for reducing pain on injection during inferior alveolar nerve block in children, A study protocol’ dated 14th June 2022, from Copyright office, Govt. Of India.
- Received a copyright for work titled, ‘Awareness regarding child oral health’ dated 30th June 2022, from Copyright office, Govt. Of India
▼
- Second prize in paper presentation at 17 th National Pedovention at Jaipur on 14 th February 2020.
▼
- First prize for scientific paper presentations at NIDACON 2020, IDA Conference, Nagpur on 29/2/2020-01/03/2020.
▼
- First position in post-graduate category of paper presentation at NIDACON 26th Jan 2019 Nagpur organized by IDA Nagpur
▼
- Best presentation award at 38th International conference of Indian Society of Pedodontics and Preventive Dentistry, October 2016
▼
- Best presentation award at 37th International conference of Indian Society of Pedodontics and Preventive Dentistry, Oct 2015
- Signed MOU with Government of Maharashtra for the sealant program in Chandrapur District.
- Proposed a modification of Angle’s classification for application in primary dentition and various cross sectional studies have been carried out to validate its application.
- A Braille customized oral health education module for the visually impaired children has been developed by the department.
-
As on 30th June 2025
Research projects: On-going = 11
Completed: 48
Copyrights: 22
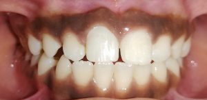
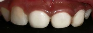
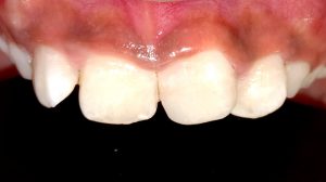
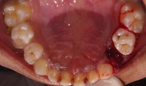
Treatment and Services
TESTIMONIALS
मी नरेश गावंडे माझा मुलगा नाव वेदांत गावंडे वय 10 याचा दातांची तपसानी दि. 07-12-2019 पासुन VSPM डेंटल कॉलेज मधे करत आहे.आता पर्यंत इलाज संतोषजनक होत आहे. या मधे डॉक्टर आणि इतर कर्मचार्यानी माला खुप संयोग केले आहे.
वेदांत गावंडे
मी सुरेंद्र जाांगडे माझ्या मुलीचे डेंटल ट्रीटमेंट VSPM डेंटल कॉलेज व हॉस्पपटल येथे केल. इथे सवव पटाफ ख इतराांना हह इथे ट्रीटमेंट करायला सल्ला देईल .च कॉपीराटीव्ह आहे .मी
अरुणिमा जाांगडे
मी सुहास इांगोले माझा मुलगा रोहन इांगोले याला दोन वर्ावचा असलापास इलाज साठी VSPM डेंटल कॉलेज व हॉस्पपटल आित आहे.इथे सवव कमचारी आणि डॉक्टर ख सहयोग करिारे आहे. माझा पाल्याचा उपचार योग्य पद्धतीने होत आहे आणि आम्ही समाधानी आहोत .
रोहन इांगोले
Visitor Counter
India 40002
Saudi 74
USA 1615
Qatar 61
Canada 82
Malaysia 47
UAE 78
Nepal 38Copyright © 2022 RD Dental College. All Rights Reserved.














