RD Dental College

RANJEET DESHMUKH DENTAL COLLEGE & RESEARCH CENTRE, NAGPUR-440019

(Formerly, VSPM Dental College and Research Centre)

Recognized by Dental Council of India, Affiliated to Maharashtra University of Health Science, Nashik

(NAAC Accredited & ISO 21001:2018 Certified)

Orthodontics & Dentofacial Orthopedics

 

DEPARTMENT OVERVIEW

The Department of Orthodontics and Dentofacial Orthopedics headed by Dr. Usha Shenoy is concerned with providing utmost Orthodontic care to a wide range of patients. The emphasis is on providing orthodontic treatment to enhance the facial appearance, efficiency and overall health of the Stomatognathic system. The department is actively involved in providing variety of treatment such as growth modulation using myofunctional and Orthopedic appliances, fixed Orthodontic treatment using various techniques, micro-implants etc.

The essence of an increasing number of patients in the department lies in exhaustive treatment planning, use of the best available clinical material and continuous monitoring by skilled clinical supervisors. There has been a constant increase in the number of patients both children and adults; visiting the department.

FACULTY

 
Dr. Usha Shenoy

Professor & HOD

Dr. Ananya Hazare

Reader

Dr. Himija Karia

Reader

DR. Pritam Khorgade

Senior lecturer

Dr. Nivedita Nandeshwar

Senior lecturer

Dr Sanika Thakur

Senior Lecturer

Dr. Sangita Bhattacharya

Lecturer

Departmental Acheivements
  • MOU with ECO Academy for Academic Orthodontic Excellence, 2025.
  • Won the Best Department Décor Award during Orthodontic Week Celebration from IOS, 2024.
  • Received Best Department Award, 2024 at RDDCRC, Nagpur.
  • Won the Best Department Décor Award during Orthodontic Week Celebration from IOS, 2023.
  • Participated in the Nationwide Smiling Bharat Campaign for Orthodontic Awareness, organized by IOS.
Dr Usha Shenoy
  • The only Diplomate of the Indian Board of Orthodontics (DIBO) in Central India.
  • Fellow of the World Federation of Orthodontists.
  • Member of the Board of Studies.
  • Editor and reviewer for various national and international journals.
  • Attended a Symposium on Assessment of Health Sciences Colleges on the Basics of NAAC Parameters, organized by MUHS, Nashik – 13th November 2019.
  • Attended and presented a scientific paper at MYC Excel, London.
  • Contributed to the National Integrated Typodont Workshop – Ortho-Bandhan, held on 5th, 6th, and 7th September 2019.
  • Contribution to NAAC accreditation acknowledged by GDC, Nagpur.
  • Guided students to win awards at Avishkar 2024.
Dr. Ananya Hazare
Update Soon
Dr. Himija Karia
  • Convenor, Nagpur Orthodontics Study Group.
  • Section Editor, IOS Times.
  • Presented a paper at the International Orthodontic Conference, Brazil, 2025.
  • Conducted a Workshop on Dental Sleep Medicine at Saveetha Dental College during the 75th IDC, 2025.
  • National Coordinator and Faculty for the Workshop on Dental Sleep Medicine at SEAASM.
  • Delivered a Keynote Lecture at IASSACON, 2024.
  • Won the “International College of Dentists’ Silver Award” for scientific paper presentation, 2018.
  • Topper of the Phase II Examination of the Indian Board of Orthodontics, 2017.
  • Recipient of the prestigious Dr. J. G. Kannappan Award for Best Dissertation, 2016.
  • Won the “Dr. Shivratna C. Savadi Award for Best Research Paper”, 2016.
  • Awarded First Prize for paper presentation at NIDACON, 2014.
  • Awarded Second Prize for paper presentation at JOSG, 2013.
  • Received the ICMR (Indian Council of Medical Research) Scholarship for Research, 2012.
  • Won First Prize at the Zonal Level and Second Prize at the National Level in the Listerine–IDA National Essay Writing Competition, 2010.
  • Registered two copyrights.
Dr. Pritam Khorgade
Update Soon
Dr. Nivedita Nandeshwar
  • First Prize in Scientific Paper Presentation (PPG Category) at Avishkar Nashik Research Competition, 2024–2025.
  • Third Prize in Scientific Paper Presentation (Faculty and Practitioner Category) at the 18th World Dental Sciences and Oral Health Conference (Pierre Fauchard Academy, Section at Large – Asia Region 9), held on 14th–15th November 2025.
  • Co-Coordinator for the Basic Research Methodology Workshop at Ranjeet Deshmukh Dental College and Research Centre, Nagpur, under the aegis of MUHS, Nashik.
  • Recipient of MUHS LTRG Grant (2024–2025) – ₹1,50,000.
  • PhD Scholar (2022–2023 batch) at Government Dental College and Hospital, Nagpur.
  • Published 14 research papers in national and international journals.
  • Presented papers and posters at national and international conferences.
  • Owner of 11 copyrights registered with the Government of India.
  • E-Book published on Genetics in Orthodontics (LAP Lambert Academic Publishing).
Dr. Sanika Thakur
  • Presented a poster at the 25th IOS Convention on 29th April 2022.
  • Secured Third Position at the Embrace Cultural Event during the 25th IOS Convention on 30th April 2022.
  • Secured Third Position at IDA Karaoke, 2022.
  • Presented a paper at the 26th IOS Convention on 17th February 2023.
  • Secured First Position at IDA Karaoke, 2023.
  • Presented a paper at NIDACON on 17th February 2024.
  • Cleared the Indian Board of Orthodontics (IBO) Phase II Examination, 2024.
  • Secured Second Position at AVEG RDDCRC Cultural Fest, 2024.
  • Published a book on Artificial Intelligence in Orthodontics with LAP Lambert Academic Publishing on 7th May 2024.
  • Presented a clinical case at NOSG in January 2025.
  • Registered three copyrights.
Dr. Sangita Bhattcharya
Update Soon

The department of Orthodontics focuses mainly on clinical research. Various studies have been conducted so far to compare the clinical effects of different orthodontic techniques. Research is being carried out using various tools such as Nemoceph, FEM, etc. We at the Department of Orthodontics are also conducting clinical research along with other allied departments. Having an MOU with an engineering college helps us in conducting studies related to mechanics and appliance design.

As on June 30th 2025
Research projects Ongoing: 14
Completed: 62
Copyright: 17

Treatments offered

  • Alignment of teeth
  • Correction of skeletal jaw problems
  • Growth modulation
  • Orthodontic treatment of syndromes, trauma, Ankylosis
  • Treatment of Cleft lip and palate
  • Interdisciplinary Orthodontics
  • Adult Orthodontics

Techniques used

  • Removable appliances
  • Myo-functional appliances
  • Fixed functional appliances
  • Orthopedic appliances
  • Fixed braces- Begg’s technique, Roth, MBT, Alexander
  • Lingual braces
  • Self ligating
  • Clear aligners

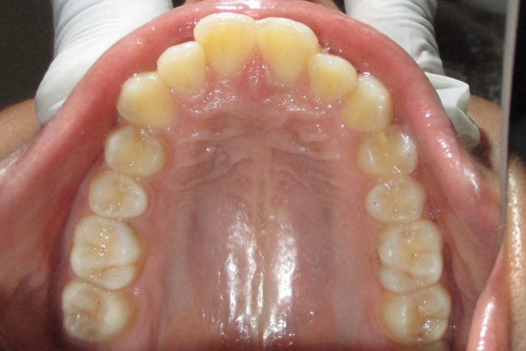
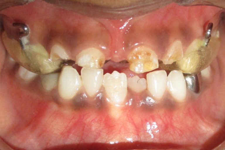
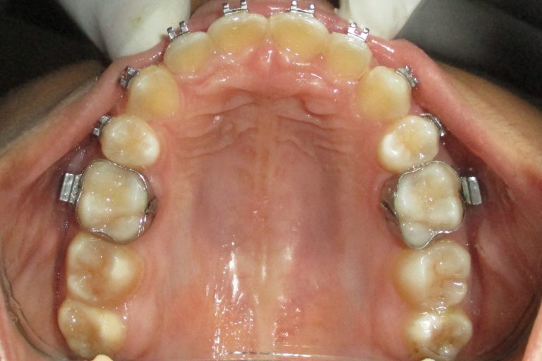
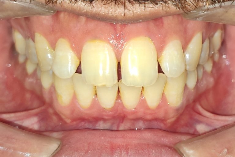
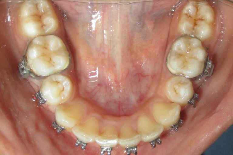
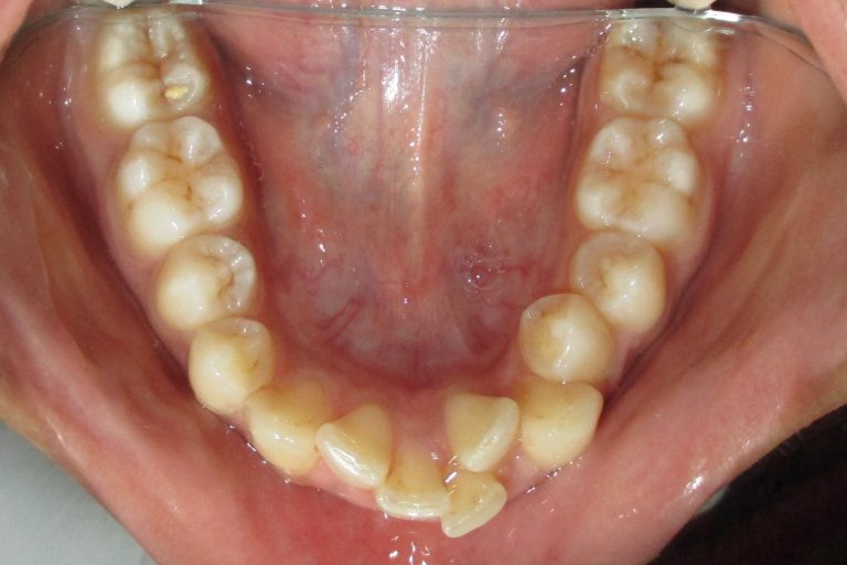
Alignment of teeth

Before-maxillary
After-maxillary
Before-Mandibular
After-mandibular

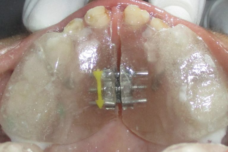
Growth Modulation

Before-Frontal
After-frontal
Before ( Right side)
After-right-side
Before-left-side
After-left-side
Face-mask
Intraoral-appliance

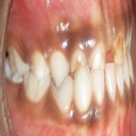
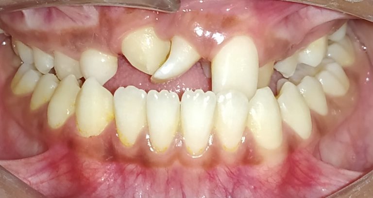
Interdisciplinary Orthodontics

Pre-Treatment
During Treatment
Post Treatment

Removable Appliance

Pre treatment
Removable appliance

Cleft lip Palate

Pre Treatment
During Treatment

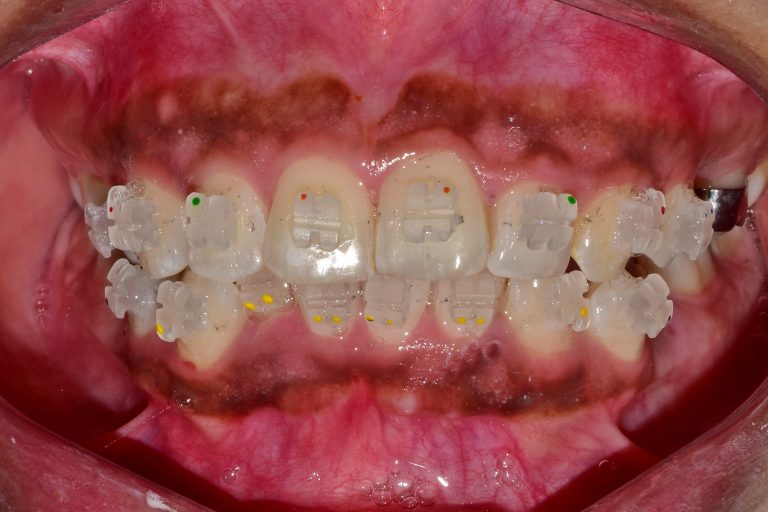
Types of Braces

Metal Braces
Ceramic Braces

Accessibility Toolbar

Scroll to Top