Conservative Dentistry & Endodontics
DEPARTMENT OVERVIEW
Department of Conservative Dentistry and Endodontics, is endowed with committed, earnest and experienced faculty all of whom along with the student are devoted to providing holistic contemporary treatment to the community. A center of excellence is also being developed to acquaint and upskill the students about newer treatment modalities. Academically the department displays virtuosity in research with 238 publication and research work research, 2 books, the contribution of chapters in a book. Three patents are registered with Govt. of India on use of Herbs and reduction of environmental hazards.
AVISHKAR a prestigious all India research convention is held annually in all states to foster research & invention among postgraduates and staff. This department has won the first position Four consecutive years at the state level category and received a scholarship for the same. from MUHS. Dr. Ameya Paralikar and Dr. Swati Demble Pg Alumni have secured the second position in the Final MDS examination of the State Health University. The department has proudly accomplished 58 national prizes at various conferences and conventions. Department also holds a strong position at the international level through its representation at various conferences. The department hosted a PG alumni meet which was a successful mutual endeavor.
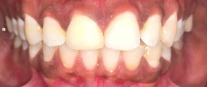
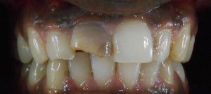
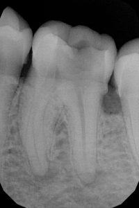
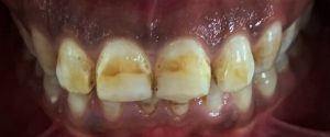
Department deals with all the treatments of teeth which alleviate pain due to pulp diseases and provide immediate solace to the patient. It also deals with the esthetic rehabilitation of the discolored, broken, mutilated teeth. Advanced endodontic treatment including micro-endodontics and regenerative therapy are also performed. Our department aims at creating and achieving excellence in the field of research and scientific development.
FACULTY
- Successfully organised an Advanced Endodontic workshop from 29th Jan to 31st Jan 2020. Dr. Vivek Hegde was the Speaker and Mentor. Total 8 candidates participated.
- Successfully organised Cons-Endo Week by the Department from 1st – 6th March.
- Organised an online scientific series “One Month One Hour – E-link Fest 2020” from 1st to 30th July 2020 with 26 eminent global speakers covering Endodontics, Restorative Dentistry, Research protocols and wellness topics.
- Organised webinar “Heat of Pandemic, Metamorphosis of Dentistry: Play it Safe” by Dr. Vivek Hegde in collaboration with the Infection Control Committee, VSPM’s DCRC on 9th Nov 2020.
- Total 10 books published by the department in 2020:
- Contribution to Textbook of Endodontics (EMMESS)
- Contribution to Essentials of Preclinical of Conservative Dentistry (Wolters Kluwer)
- Recent Advances in Armamentarium of Shaping & Cleaning (Lambert Academic Publishing)
- Veneers (Lambert Academic Publishing)
- Adhesion to Tooth Structure (Lambert Academic Publishing)
- Restoration of Endodontically Treated Teeth (Lambert Academic Publishing)
- Vital Pulp Therapy (Sara Book Publication)
- Endo Perio Relationship (Lambert Academic Publishing)
- Dental Age Estimation in Adults (Lambert Academic Publishing)
- Endodontic Retreatment – Success or Failure of Endodontic Therapy (Kindle Publication)
- Patent granted by Government of India – Unique pouch for sterilization and storage of dental instruments, Unique method for target X-ray (2024), Gypsum products in dentistry and its environmental hazards (2019), Herbal Decontamination of Toothbrush (Idea Patent) 2018, GP Herbacare (2018).
- Invited national speaker at various specialty conventions, national conferences, and local IDAs
- Examiner and Paper Setter at various prestigious universities across India
- Recognized Ph.D. Guide at MUHS, currently guiding 8 Ph.D. scholars
- Member of various university committees and boards: Member of Local Inspection Committee, MUHS, Nashik; Member of the Staff Selection Committee at MUHS
- Radio talks broadcast on All India Radio, Doordarshan talk on “Arogya Dhan Sampada” program
- 1st Prize at AVISHKAR 2015, MUHS Nashik
- Invited as a scientific moderator at 12th IFEA World Endodontic Online Congress, 2020.
- Hosted the first-ever webinar series in endodontics (2014) and regional Endodontic conference (2012)
- Developed Patient Management Software for Endodontic Practice – “Archivist”
- Reviewer for esteemed Indian and International journals, including Endodontology, JCD, and JIDR
- Final year Nagpur University topper, 1990
- Numerous Scientific Papers & Copyrights Publications to credit.
- Invited as a faculty to share the knowledge in Online Post Graduate Orientation Program 2020 held from 15th to 17th Oct 2020 by VSPM’s Dental College and Research Centre, Nagpur
- Participated as a judge for a scientific session at 2nd IACDE Zonal Conference (Zone 1) on 28th Nov 2019, Navi Mumbai
- Scientific Paper presented at 2nd IACDE Zonal Conference (Zone 1) on 28th Nov 2019, Navi Mumbai
- Paper presentation at 19th Scientific Congress of APEC & 18th IACDE & IES PG Convention, Delhi
- Chairperson at a scientific session at 17th IACDE-IES PG CONVENTION, April 2016, Bhopal
- Scientific paper presentation at 17th IACDE-IES PG CONVENTION, April 2016, Bhopal
- Participated as a judge for the poster competition at 30th IACDE & IES National Conference, November 2015, Amritsar
- Scientific paper presentation at 30th IACDE & IES National Conference, November 2015, Amritsar
- Chairperson for poster competition at National Endodontic Conference at Hyderabad, 2013
- Reviewer of the editorial board for the Journal of Conservative Dentistry and Endodontics
- Participated as Judge for Scientific Session at 62nd IDA National Conference, Nagpur in February 2009
- Awarded PhD degree in Conservative Dentistry and Endodontics by MUHS Nashik, February 2024
- Certificate course with HONORS in Materials in Oral Health by University of Hong Kong (96%) dated 12 August 2024
- Patents in Official Journal of Patent Office, INDIA published:
- GP HERBACARE (EQUIPMENT PATENT)
- Herbal Decontamination of TOOTH BRUSH (IDEA PATENT)
- “Gypsum Products in Dentistry & its Environmental Hazards”
- FOCUS
- A SMART SUCTION DEVICE
- Granted: “CUSTOMIZED JIG TOOTH BRUSHING SIMULATION DEVICE”
- Published 50+ research articles in journals of International and National repute with 448+ citations and 7 copyrights
- PhD External Co-supervisor at Ramdeobaba Engineering College, Nagpur
- BCLS Provider certificate for training in Basic Cardiopulmonary Life Support (BCLS) as per Indian Resuscitation Council Federation CPR guidelines, September 2024
- NPTEL Online Certification with 83% (Elite+Silver Category): “Roadmap for Patent Creation” by IIT Kharagpur, Ministry of HRD, Govt of India (Jan–Mar 2021)
- Awarded STRG Research Grant (₹12,000) for a project guided to Dr. Aishwarya Duble by MUHS Nashik, December 2019
- Awarded Long-Term Research Grant (LTRG/2015-16/E-2/02) from MUHS, Nashik of ₹71,000, August 2016
- “GP HERBACARE” (EQUIPMENT) – 1st Prize in Medicine & Pharmacy Category at Avishkar 2017 Creative Innovations for Skill India (State Conference), MUHS, Nashik
- Best Editor and Reviewer award for the academic year 2024 in the IP Indian Journal of Conservative and Endodontics; reviewer on editorial board for various national and international journals
- Approved Faculty for Research Methodology Workshops of MUHS, Nashik
- Best Individual Performer Award of the Year – VSPMAHE, Jan 2017
- Editor and Author of book “Futuristic Trends in Medical Sciences” by IIP Publishers
- Various publications in International and National journals. Also have many Copyrights, one Patent and Chapter in Book.
- Paper presented – 26th FODI & 19th IES National Conference, Delhi 2011 – Comparative evaluation of cytotoxicity of root canal sealers: an in vitro study
- Paper presented – 28th IACDE and 21st IES National Conference, Hyderabad 2013 – Unusual root canal configuration of Maxillary 1st Molar – a rare case report
- Paper presented in 34th IACDE National Conference, Mumbai, 29th Nov – 1st Dec 2019 – Management of central incisor associated with periapical lesion fused with supernumerary root
- Paper presented in 12th IFEA World Endodontic Congress, 12–14 August 2021 – Effect of acidic saliva on surface roughness deterioration of Endodontic access cavity restorative bulk fill composite: an in vitro study
- Paper presented in 37th IACDE National Conference, Bhopal, 17th–20th November 2022 – Evaluation of surface roughness and microhardness of bulk and nanohybrid composite in different beverages at various time intervals
- Judge for PG scientific paper presentation in 37th IACDE National Conference, Bhopal, 20th November 2022
- Judge for scientific paper presentation in ‘The Sync’, National Dental Conference, 18th February 2023
- Resource person of the Student Exchange Program by IACDE at RDDCRC, Nagpur, 14th September 2024
- Best Paper at 3rd XI FODI and IES Convention, May 2010, Bangalore
- Best Paper at XII FODI and IES Convention, May 2011, Ahmedabad
- Best Research Paper in VSPM Intercollegiate Scientific Meet
- Faculty for Hands-On Course on Obturation at 3rd West Zone PG Convention, Pune, 2014
- Faculty Guest Lecture – Colgate India, 2015 – Dentin Hypersensitivity
- Faculty Guest Lecture – E Link Fest, 2020
- Faculty for National Student Exchange Program IACDE, 2023
- Publications: 50
- PubMed Publications
- Scopus/Web of Science Publications
- International Publications
- Chapters in a Book: 4
- Copyrights: 5
- Faculty for Dental Awareness Workshop and Dental Checkup camp at JP English School, Ramna Maroti Nagar, Nagpur in March 2025
- Faculty for Workshop on “Caring your teeth for your healthy smile” for students and on “Dental trauma and emergency management at school” for teachers at Bhavan’s BP Vidya Mandir, Shrikrishna Nagar, Nagpur on 16th Oct 2023
- Scientific Paper Presentation at 30th National Conference of Indian Endodontic Society on 14th to 16th October 2022, New Delhi
- Scientific Paper presentation at Endovista, Terna Dental College, Navi Mumbai, February 2016 and 17th IACDE-IES PG Convention, People’s Dental College, Bhopal, April 2016
- Scientific Poster presentation at 30th IACDE & 23rd IES National Conference, Amritsar, November 2015 and 29th IACDE & 22nd IES National Conference, Jaipur, December 2014
- Numerous Scientific paper publications in PubMed, Scopus, National and International journals
- Published Book, Patent and Copyrights
- Faculty for Dental Awareness Workshop and Dental Checkup camp at JP English School, Ramna Maroti Nagar, Nagpur in March 2025
- Faculty for Workshop on “Caring your teeth for your healthy smile” for students and on “Dental trauma and emergency management at school” for teachers at Bhavan’s BP Vidya Mandir, Shrikrishna Nagar, Nagpur on 16th Oct 2023
- Scientific Paper Presentation at 30th National Conference of Indian Endodontic Society on 14th to 16th October 2022, New Delhi
- Scientific Paper presentation at Endovista, Terna Dental College, Navi Mumbai, February 2016 and 17th IACDE-IES PG Convention, People’s Dental College, Bhopal, April 2016
- Scientific Poster presentation at 30th IACDE & 23rd IES National Conference, Amritsar, November 2015 and 29th IACDE & 22nd IES National Conference, Jaipur, December 2014
- Numerous Scientific paper publications in PubMed, Scopus, National and International journals
- Published Book, Patent and Copyrights
- Trainer for BCLS Training Programme for PG students at NKPSIMS Nagpur (October 2024) & for 8th & 9th students at JP English Medium School, Ramna Maruti Nagar, Nagpur (March 2025)
- Reviewer for Journal of Advances in Dental Practice and Research 2024
- Attended 13th Dental Facial Cosmetic International Conference 2024
- Completed Swayam course on Scientific Writing in Health Research (2024) & Introduction to Systemic Review on Dental Health Professional (2025)
- Various Scientific presentations at National Conferences
- Attended various national & international certification courses
- Publication in various PubMed / non-PubMed National & International Journals
- Book publication & many copyrights to the credit
- Have 2 publications in international journals
- Have one publication in national journal
- Got sponsorship for thesis in post graduation from world-renowned Brasseler Company, USA
- Presented papers in national and state-level conferences
- Presented posters in national and state-level conferences
- Attended many national and state-level conferences
- Member of JCI Medico, Nagpur
- Authored textbook: “Retrieval of Endodontic Instrument” – Lambert Publication
- Authored chapter in “Futuristic Trends in Medical Sciences Volume 3 Book 18”, 2024
- Scientific Poster Presentation at 32nd IACDE and 25th IES National Conference, Ahmedabad, 2018
- Scientific Paper Presentation at IACDE PG Convention, Chandigarh, 2019
- Scientific Paper Presentation at Endovista, Terna, Mumbai, 2019
- International Publications: 2
- Copyrights: 2
- Patent published and granted in Indian Patent Journal: 1
- 4 Scientific paper presentations at various National and International level Conferences.
- 2 Scientific poster presentations at various National and International level Conferences.
- Chairperson for paper presentations at 30th National Conference of Indian Endodontic Society, New Delhi.
- Chairperson for paper presentations at NIDACON, IDA Nagpur.
- Executive Member & Member of Editorial Board of IDA Times of Indian Dental Association (IDA).
- Executive Member of Indian Endodontic Society (IES).
- 2nd Prize in 19th APEC & 18th IACDE & IES PG Convention, New Delhi.
- Awarded for outstanding performance in Conservative Dentistry & Endodontics by Academy of Conservative Dentistry & Endodontics, Nagpur branch (ACE).
- International Publications: 3
- National Publications: 1
- Authored chapter entitled “Guided Endodontics” in Futuristic Trends in Medical Sciences Volume 3 Book 18: 2024
- Presented paper at Patent Idea Fest 2023
- Best PG Performer Award 2020
- Numerous Publications in PubMed and Scopus-indexed Journals
- Authored textbook “Adhesion to Tooth Structure” Lambert Publication 2020
- Patent published and granted in Indian Patent Journal: 2021
- Patent Published in Indian Patent Journal: 2024
- Various Copyrights published
- Scientific poster presentation at IACDE Kaleidoscope Virtual Conference, 2020
- Participated in IES – Endo Diversified Contest, 2021
- Best PG Performer Award 2020
- International Publication: 1 article
- National Publications: 4
- Authored textbook “Recent Advances In Armamentarium of Shaping & Cleaning” Lambert Publication 2020
- Scientific poster presentation at IACDE PG Convention 2019, Chandigarh
- Scientific poster presentation at IACDE Kaliedoscope Virtual Conference, 2020
- Participated in IES – Endo Diversified Contest, 2021
- Scientific Poster Presentation at 2nd IACDE Zonal Conference (Zone-1), Navi Mumbai
- Scientific Paper Presentation at IFEA 2022 World Endodontic Online Congress, Chennai, India
- Scientific Paper Presentation at Endovista 2022, Terna Dental College, Navi Mumbai
- Scientific Paper Presentation at ISTHMUS 2022, M.A. Rangoonwala Dental College, Pune
- International Publications: 2
- National Publications: 3
- Copyrights: 2
- Chapter in Book: 1 (“Ultrasonics in Endodontics: Futuristic Trends in Medical Science Vol. 3 Book 18”)
- Secured First Prize for Paper Presentation at the 24th IACDE National PG Convention, Chennai, 2024.
- Secured Third Prize in the Quiz Competition “Cons-Endo Quest”, 2022, at AIIMS, Nagpur.
- Scientific Poster Presentation at the IES PG Convention, Aurangabad, held from 3rd to 5th March 2023.
- Scientific Paper Presentation at the 37th IACDE National Conference, Bhopal, held from 16th to 19th November 2022.
- Scientific Poster Presentation at NIDACON, 2022.
- Total Publications: 3.
- Total Copyrights: 1.
- National Publications: 5
- International Publications: 9
- Copyright: 1
- Book Chapter: 1
- Paper Presentations at National Conferences: 6
- Poster Presentations: 2
- Scientific Poster presentation – Scope of Dentistry as presented and perceived by fresh students of dentistry (KAP study) – at Maharashtra State Level Conference organized by Medical Education Trust Unit, NKPSIMS, 13th Jan 2012
- E-Poster presentation on “21st-century Dental Education: The Right Perspective” held on 11th Jan 2014
- Awards Committee Member in Dhadkan 2017, AURA from 30th January to 9th February 2017
- Participated in Cricket at Dhadkan 2017, AURA from 30th January to 9th February 2017
- Participated in Tree Plantation, Glaucoma Awareness, and Dental Camp on the occasion of Cons-Endo Day on 5th March 2018
- Conducted Poster Competition for 2nd-year students – SMILE – on 5th March 2019
- Have many Publications in International, National, and PubMed-indexed journals
- Published Copyrights and Chapter in Book
- Successfully organised an Advanced Endodontic workshop from 29th Jan to 31st Jan 2020. Dr. Vivek Hegde was the Speaker and Mentor. Total 8 candidates participated.
- Successfully organised Cons-Endo Week by the Department from 1st – 6th March.
- Organised an online scientific series “One Month One Hour – E-link Fest 2020” from 1st to 30th July 2020 with 26 eminent global speakers covering Endodontics, Restorative Dentistry, Research protocols and wellness topics.
- Organised webinar “Heat of Pandemic, Metamorphosis of Dentistry: Play it Safe” by Dr. Vivek Hegde in collaboration with the Infection Control Committee, VSPM’s DCRC on 9th Nov 2020.
- Total 10 books published by the department in 2020:
- Contribution to Textbook of Endodontics (EMMESS)
- Contribution to Essentials of Preclinical of Conservative Dentistry (Wolters Kluwer)
- Recent Advances in Armamentarium of Shaping & Cleaning (Lambert Academic Publishing)
- Veneers (Lambert Academic Publishing)
- Adhesion to Tooth Structure (Lambert Academic Publishing)
- Restoration of Endodontically Treated Teeth (Lambert Academic Publishing)
- Vital Pulp Therapy (Sara Book Publication)
- Endo Perio Relationship (Lambert Academic Publishing)
- Dental Age Estimation in Adults (Lambert Academic Publishing)
- Endodontic Retreatment – Success or Failure of Endodontic Therapy (Kindle Publication)
- Patent granted by Government of India – Unique pouch for sterilization and storage of dental instruments
- Registered 4 patents for research with the Government of India: Unique method for target X-ray (2024), Gypsum products in dentistry and its environmental hazards (2019), Herbal Decontamination of Toothbrush (Idea Patent) 2018, GP Herbacare (2018)
- Invited national speaker at various specialty conventions, national conferences, and local IDAs
- Examiner and Paper Setter at various prestigious universities across India
- Recognized Ph.D. Guide at MUHS, currently guiding 8 Ph.D. scholars
- Chairperson for scientific sessions at various PG conferences and conventions
- Member of various university committees and boards: Member of Local Inspection Committee, MUHS, Nashik; Member of the Staff Selection Committee at MUHS
- Radio talks broadcast on All India Radio: 4
- Doordarshan talk on “Arogya Dhan Sampada” program
- Final year Nagpur University topper, 1990
- 1st Prize at AVISHKAR 2015, MUHS Nashik
- Best Individual Performer Award at VSPMS Annual AWARD, 2015
- Best Individual Performer Award at VSPM’s Annual AWARD, 2014
- Awarded as a National Faculty at International Dental Students Congress 5.0, 2020
- Invited as a scientific moderator at 12th IFEA World Endodontic Online Congress, 2020 and Kaleidoscope – a virtual conference by Army College of Dental Sciences with IACDE, 2020
- Chairperson for 3-day online workshop for Ph.D. scholars, organized by Ph.D. Cell, VSPM Dental College & Research Centre, Nov 2020
- Moderator for 1st MDS PG Orientation Program organized by IACDE, 30 Nov – 1 Dec 2020
- Hosted the first-ever webinar series in endodontics (2014) and regional Endodontic conference (2012)
- Hosted month-long online ELink Fest in 2020, 2021, and 2022 (“One Hour, One Month”)
- Pioneer in establishing an Endoherb Garden (2012)
- Developed Patient Management Software for Endodontic Practice – “Archivist”
- Reviewer for esteemed Indian and International journals, including Endodontology, JCD, and JIDR
- First-ever Lady President of GDCH, Nagpur
- Nagpur University topper in final BDS
- Publications: 104
- PubMed Indexed: 20
- Patents: 5
- Copyrights: 10
- Textbooks: 5
- Chapters in Book: 11
- Invited as a faculty to share the knowledge in Online Post Graduate Orientation Program 2020 held from 15th to 17th Oct 2020 by VSPM’s Dental College and Research Centre, Nagpur
- Participated as a judge for a scientific session at 2nd IACDE Zonal Conference (Zone 1) on 28th Nov 2019, Navi Mumbai
- Scientific Paper presented at 2nd IACDE Zonal Conference (Zone 1) on 28th Nov 2019, Navi Mumbai
- Paper presentation at 19th Scientific Congress of APEC & 18th IACDE & IES PG Convention, Delhi
- Chairperson at a scientific session at 17th IACDE-IES PG CONVENTION, April 2016, Bhopal
- Scientific paper presentation at 17th IACDE-IES PG CONVENTION, April 2016, Bhopal
- Participated as a judge for the poster competition at 30th IACDE & IES National Conference, November 2015, Amritsar
- Scientific paper presentation at 30th IACDE & IES National Conference, November 2015, Amritsar
- Chairperson for poster competition at National Endodontic Conference at Hyderabad, 2013
- Reviewer of the editorial board for the Journal of Conservative Dentistry and Endodontics
- Participated as Judge for Scientific Session at 62nd IDA National Conference, Nagpur in February 2009
- Awarded PhD degree in Conservative Dentistry and Endodontics by MUHS Nashik, February 2024
- Certificate course with HONORS in Materials in Oral Health by University of Hong Kong (96%) dated 12 August 2024
- BCLS Provider certificate for training in Basic Cardiopulmonary Life Support (BCLS) in accordance with Indian Resuscitation Council Federation CPR guidelines, September 2024
- NPTEL Online Certification with a consolidated score of 83% (Elite+Silver Category) “Roadmap for Patent Creation” by Indian Institute of Technology, Kharagpur, funded by the Ministry of HRD, Govt of India (Jan–Mar 2021)
- Awarded STRG Research Grant (₹12,000) for a project guided to Dr. Aishwarya Duble by MUHS Nashik, December 2019
- Awarded Long-Term Research Grant (LTRG/2015-16/E-2/02) from MUHS, Nasik of ₹71,000, August 2016
- Reviewer on editorial board for various national and international journals
- Appointed as Member for scrutiny of research projects by MUHS, Nashik, dated 23 July 2024
- Faculty for Advanced Research Methodology Workshop at Government Dental College, Nagpur (MUHS), 4–9 Dec 2023 and Government Medical College, Nagpur (MUHS), 29 Jan–3 Feb 2024
- Faculty for Advanced Research Methodology Workshop at VSPMDCRC, Nagpur on “Basics of Patent” under the aegis of MUHS, Nashik, 4–9 Sep 2023
- Faculty for workshop on “Caring Your Teeth for Your Healthy Smile” for students and “Dental Trauma and Emergency Management at School” for teachers at Bhavans BP Vidya Mandir, Shrikrishna Nagar, Nagpur on 16 Oct 2023
- Publications: Total 48
- PubMed Indexed: 15
- Scopus Indexed: 5
- Authored Books: 3
- Patents in Official Journal of Patent Office, INDIA: 4
- Copyrights: 5
- Group Commander’s Commendation Card for NCC, 1996–1997
- Defence Secretary Commendation Card for NCC, 1997–1998
- Most Active IDA (Nagpur Branch) Female Member, 1998–1999
- Coordinator – National Oral Health Conference for Dental Surgeons, Nagpur, 2001
- Judge for Scientific Session at 29th IACDE and 22nd IES National Conference, Jaipur, 2014
- Paper Presentation at 29th IACDE and 22nd IES National Conference, Jaipur, December 2014
- Paper Presentation at 30th IACDE and 23rd IES National Conference, Amritsar, November 2015
- Paper Presentation and Chairperson at 32nd IACDE & 25th IES National Conference, Gandhinagar, November 2017
- Paper Presentation and Chairperson at 33rd IACDE National Conference, Vijayawada, November 2018
- Judge at Scientific Session Innoviz 2020 and Sciverse 2024
- Paper Presentation and Chairperson at 12th IFEA World Endodontic Congress, July–August 2021
- Paper Presentation and Chairperson at 37th IACDE National Conference, Bhopal, November 2022
- Publications: 35 articles in International and National journals
- Paper presented at 26th FODI & 19th IES National Conference, Delhi, 2011 – “Comparative Evaluation of Cytotoxicity of Root Canal Sealers: An In Vitro Study”
- Paper presented at 28th IACDE and 21st IES National Conference, Hyderabad, 2013 – “Unusual Root Canal Configuration of Maxillary 1st Molar – A Rare Case Report”
- Paper presented at 34th IACDE National Conference, Mumbai, 29 November – 1 December 2019 – “Management of Central Incisor Associated with Periapical Lesion Fused with Supernumerary Root”
- Paper presented at 12th IFEA World Endodontic Congress, 12-14 August 2021 – “Effect of Acidic Saliva on Surface Roughness Deterioration of Endodontic Access Cavity Restorative Bulk Fill Composite: An In Vitro Study”
- Paper presented at 37th IACDE National Conference, Bhopal, 17-20 November 2022 – “Evaluation of Surface Roughness and Microhardness of Bulk and Nanohybrid Composite in Different Beverages at Various Time Intervals”
- Judge for PG Scientific Paper Presentation at 37th IACDE National Conference, Bhopal, 20 November 2022
- Judge for Scientific Paper Presentation in ‘The Sync, National Dental Conference, 18 February 2023
- Chairperson for “Resto-Cons-2019” at GDCH, Nagpur, 21 September 2019
- Chairperson at NIDACON, 26 January 2019
- Chairperson at NIDACON, 18 February 2024
- Resource person for the Student Exchange Program by IACDE at RDDCRC, Nagpur, 14 September 2024
- Best Paper at 3rd XI FODI and IES Convention, May 2010, Bangalore
- Best Paper at XII FODI and IES Convention, May 2011, Ahmedabad
- Best Research Paper in VSPM Intercollegiate Scientific Meet
- Faculty for Hands-On Course on Obturation at 3rd West Zone PG Convention, Pune, 2014
- Faculty Guest Lecture – Colgate India, 2015 – Dentin Hypersensitivity
- Faculty Guest Lecture – E Link Fest, 2020
- Faculty for National Student Exchange Program IACDE, 2023
- Publications: 50
- PubMed Publications
- Scopus/Web of Science Publications
- International Publications
- Chapters in a Book: 4
- Copyrights: 5
- Faculty for Workshop on “Caring Your Teeth for Your Healthy Smile” for students and “Dental Trauma and Emergency Management at School” for teachers at Bhavan’s BP Vidya Mandir, Shrikrishna Nagar, Nagpur, on 16 October 2023
- Scientific Paper Presentation at 30th National Conference of Indian Endodontic Society, 14-16 October 2022, New Delhi
- Scientific Paper Presentation at Endovista, Terna Dental College, Navi Mumbai, February 2016, and 17th IACDE-IES PG Convention, People’s Dental College, Bhopal, April 2016
- Scientific Poster Presentation at 30th IACDE & 23rd IES National Conference, Amritsar, November 2015, and 29th IACDE & 22nd IES National Conference, Jaipur, December 2014
- Publications: PubMed: 1
- International Publications: 6
- National Publications: 1
- Scopus Indexed: 2
- Book: 1 (“Endodontic Retreatment”)
- Patent: 1
- Copyrights: 4
- Reviewer for Journal of Advances in Dental Practice and Research
- Scientific paper presentation at 30th IEC National Conference, Delhi, 2022
- Attended 13th Dental Facial Cosmetic International Conference, 2024
- Attended various certification courses
- Publications: PubMed: 1
- Publications: International: 3
- Publications: National: 2
- Book: 1
- Have 2 publications in international journals
- Have one publication in national journal
- Got sponsorship for thesis in post graduation from world-renowned Brasseler Company, USA
- Presented papers in national and state-level conferences
- Presented posters in national and state-level conferences
- Attended many national and state-level conferences
- Member of JCI Medico, Nagpur
- Authored textbook: “Retrieval of Endodontic Instrument” – Lambert Publication
- Authored chapter in “Futuristic Trends in Medical Sciences Volume 3 Book 18”, 2024
- Scientific Poster Presentation at 32nd IACDE and 25th IES National Conference, Ahmedabad, 2018
- Scientific Paper Presentation at IACDE PG Convention, Chandigarh, 2019
- Scientific Paper Presentation at Endovista, Terna, Mumbai, 2019
- International Publications: 2
- Copyrights: 2
- Patent published and granted in Indian Patent Journal: 1
- 4 Scientific paper presentations at various National and International level Conferences.
- 2 Scientific poster presentations at various National and International level Conferences.
- Chairperson for paper presentations at 30th National Conference of Indian Endodontic Society, New Delhi.
- Chairperson for paper presentations at NIDACON, IDA Nagpur.
- Executive Member & Member of Editorial Board of IDA Times of Indian Dental Association (IDA).
- Executive Member of Indian Endodontic Society (IES).
- 2nd Prize in 19th APEC & 18th IACDE & IES PG Convention, New Delhi.
- Awarded for outstanding performance in Conservative Dentistry & Endodontics by Academy of Conservative Dentistry & Endodontics, Nagpur branch (ACE).
- International Publications: 3
- National Publications: 1
- Best PG Performer Award, 2020
- International Publications: 7
- National Publications: 5
- Copyrights: 4
- Authored textbook: “Adhesion to Tooth Structure,” Lambert Publication, 2020
- Authored chapter: “Guided Endodontics” in Futuristic Trends in Medical Sciences, Volume 3 Book 18, 2024
- Patent published and granted in Indian Patent Journal: 2021
- Patent published in Indian Patent Journal: 2024
- Presented paper at Patent Idea Fest, 2023
- Scientific poster presentation at IACDE Kaleidoscope Virtual Conference, 2020
- Participated in IES – Endo Diversified Contest, 2021
- Best PG Performer Award 2020
- International Publication: 1 article
- National Publications: 4
- Authored textbook “Recent Advances In Armamentarium of Shaping & Cleaning” Lambert Publication 2020
- Scientific poster presentation at IACDE PG Convention 2019, Chandigarh
- Scientific poster presentation at IACDE Kaliedoscope Virtual Conference, 2020
- Participated in IES – Endo Diversified Contest, 2021
- Scientific Poster Presentation at 2nd IACDE Zonal Conference (Zone-1), Navi Mumbai
- Scientific Paper Presentation at IFEA 2022 World Endodontic Online Congress, Chennai, India
- Scientific Paper Presentation at Endovista 2022, Terna Dental College, Navi Mumbai
- Scientific Paper Presentation at ISTHMUS 2022, M.A. Rangoonwala Dental College, Pune
- International Publications: 2
- National Publications: 3
- Copyrights: 2
- Chapter in Book: 1 (“Ultrasonics in Endodontics: Futuristic Trends in Medical Science Vol. 3 Book 18”)
- National Publications: 5
- International Publications: 9
- Copyright: 1
- Book Chapter: 1
- Paper Presentations at National Conferences: 6
- Poster Presentations: 2
- Scientific Poster Presentation – Scope of Dentistry as Perceived by Fresh Students of Dentistry (KAP Study) at Maharashtra State Level Conference organized by Medical Education Trust Unit, NKPSIMS, 13th Jan 2012
- E-Poster Presentation on 21st Century Dental Education: The Right Perspective held on 11th Jan 2014
- Awards Committee Member in Dhadkan 2017, AURA from 30th January to 9th February 2017
- Participated in Cricket at Dhadkan 2017 AURA from 30th January to 9th February 2017
- Participated in Tree Plantation, Glaucoma Awareness, and Dental Camp on the occasion of Cons-Endo Day on 5th March 2018
- Conducted Poster Competition for 2nd Year Students – SMILE on 5th March 2019
- Publications: International – 8
- Publications: National – 5
- PubMed – 1
- Copyright – 1
- Chapter in Book
Departmental Research is mainly focused on developing & comparing newer and better materials and techniques in the field of Conservative Dentistry and Endodontics. With a wide arena of materials available today, it is important to appraise the further prospects and obstacles which it may pose.
Academically the department displays virtuosity in research with 238 publication and research work, 2 books, 2 chapters in a book and two patents. Thus the primary focus of the Department is to juxtapose the latest available materials and techniques to achieve a superior clinical outcome.
Patents
- “GP HERB CARE” (equipment Patent) publication date 5/1/2018.Dr.Chetana Makade, Dr.Pratima Shenoi
- Herbal decontamination of toothbrush (Idea Patent) publication date 16/02/2018.
Dr.Chetana Makade,Dr.Pratima Shenoi
Inclusive innovations (AVISHKAR)
- Herbal Disinfection of GP Cones 2nd Prize MUHS 2015.Dr.Chetana Makade
- Reattachment of tooth fragment using different storage media 1st Prize MUHS 2016.Dr.Swati Demle
- GP –Herbcare 1st Prize MUHS 2017.Dr.Chetana Makade
- Gypsm Products and its environmental hazards, awareness among practitioners of Central India 1st Prize MUHS Ravishankar 2018,2nd Prize at state level Avishkar 2019.
RESEARCH DETAILS
Total Research projects completed to date: 255
Ongoing Research Projects: 25
Copyright:22
Patent:08
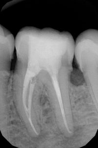
TREATMENTS
SERVICES
| SR. NO. | TREATMENT |
| 1 | Silver Filling |
| 2 | Calcium Hydroxide With SAF |
| 3 | Cement Filling / Dressing |
| 4 | Calcium Hydroxide With GIC |
| 5 | Composite Filling Light Cure |
| 6 | Miracle Mix |
| 7 | Gold Filling (Inlay) |
| 8 | GIC |
| 9 | MTA |
| 10 | Pin Retained Amalgam/ Bonded Restoration |
| 11 | Giomer |
| 12 | Composite Laminates- Direct |
| 13 | Indirect Composite Restoration |
| 14 | Metal Crown |
| 15 | Porcelain Facing With Metal Backing |
| 16 | Full Ceramic Crown |
| 17 | Post And Core (Cast) |
| 18 | Fibre Post Core |
| 19 | Root Canal Treatment Conventional |
| 20 | Rotary RCT |
| 21 | Root Canal Treatment With Thermafil |
| 22 | Root Canal Treatment With Obtura (II) |
| 23 | Root Canal Treatment With Calamus |
| 24 | Regenerative Endodontics |
| 25 | Surgical Endodontics (Microscope) |
| 26 | Crown Lengthening Procedures |
| 27 | Home Bleaching (Micro – Macro Abrasion) |
| 28 | Vital Bleaching (Zoom) |
| 29 | Vital/ Non Vital Office Bleach |
| 30 | X – Ray |
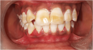
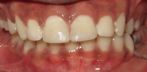
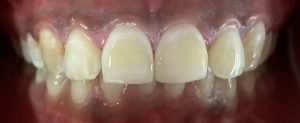
TESTIMONIALS











Visitor Counter
India 40002
Saudi 74
USA 1615
Qatar 61
Canada 82
Malaysia 47
UAE 78
Nepal 38Copyright © 2022 RD Dental College. All Rights Reserved.