RD Dental College

RANJEET DESHMUKH DENTAL COLLEGE & RESEARCH CENTRE, NAGPUR-440019

(Formerly, VSPM Dental College and Research Centre)

Recognized by Dental Council of India, Affiliated to Maharashtra University of Health Science, Nashik

(NAAC Accredited & ISO 21001:2018 Certified)

Periodontology

 

DEPARTMENT OVERVIEW

The Department is involved in various Surgical and Non Surgical treatment procedures like Scaling and Root Planing, Flap Surgeries, Periodontal Plastic, and Esthetic Surgeries, Dental Implants, Sinus Augmentation, Ridge Augmentation, and Bone Grafting Procedures, LASERS, etc.

It has a separate Implantology section dedicated to Dental Implant Procedures. The Department has conducted various CDE Programmes on interesting topics like “E-Cigarettes and Periodontal Disease ”, on Oral Hygiene Day, Modern approaches to Oral Hygiene” etc. It has successfully hosted the 41st National Conference of the Indian Society of Periodontology as well as National Colloquium and Symposiums.

The Department conducts the MUHS Fellowship Course in Oral Implantology and Nobel Biocare Implant Fellowship Course for the Postgraduate students on a yearly basis. The Department is one of the centers approved by the MUHS, Nashik for Ph.D. courses in Periodontics and Implantology with three Professors approved as Ph.D. guides from the Department.

FACULTY

 
Dr. Abhay Kolte

Dean, Professor & HOD

Dr. Rajashri Kolte

Professor

Dr. Surekha Rathod

Professor

Dr. Kamalkishor Mankar

Reader

Dr.Dhawal Mody

Reader

Dr. Vrushali Lathiya

Reader

Dr. Pranjali Bawankar

Senior Lecturer

Dr. Neha Deshpande

Senior Lecturer

Dr. Prachi Rathi

Senior Lecturer

Dr Aishwarya Ikhar

Senior Lecturer

Dr Vinisha Bajaj

Senior Lecturer

Accordion Example
Achievements of Department of Periodontology and Implantology for the year 2024-25
  • Recipient of “Best Performing Department Award” by VSPM AHE for the year 2023.
  • 28 patents published, 7 patents granted and 70 copyrights published in the Intellectual Property Rights by the Govt. of India.
  • More than 200 publications in PubMed/Web of Science/Scopus/UGC Care. And 15 eBooks published.
  • “Textbook of Periodontology and Oral Implantology” published by Elsevier publications. Editor: Dr. Abhay Kolte. Contributions from: Dr. Rajashri Kolte, Surekha Rathod, Kamal Mankar, Dhawal Mody, Vrushali Lathiya, Pranjali Bawankar, Girish Bodhare.
  • 7 LTRG and 10 STRG by MUHS, 3 ICMR STS projects approved for research grant, 1 ISP and 1 PG research grant & 2 travel grants received.
  • Recipient of First Prize: Dr. Rajashri Kolte, Dr. Pranjali Bawankar and Dr. Palak Kasliwal in Avishkar organized by MUHS.
  • 2 faculty members cleared PET by MUHS.
  • Dr. Palak Kasliwal received a cash prize of ₹1 lakh in Health Hackathon organized by VIT Bhopal and John Hopkins University.
  • Dr. Abhay Kolte delivered the Late Dr. Lalit Guglani Memorial Oration Lecture at the 46th National Conference of Indian Society of Periodontology held at Bhubaneshwar in Nov. 2022.
  • Dr. Rajashri Kolte won “Commendation Award” in scientific paper presentation at the 46th National Conference of Indian Society of Periodontology held at Bhubaneshwar in Nov. 2022.
  • Dr. Pranjali Bawankar was awarded “The Most Active IDA Member” for the year 2022 and Dr. Vinisha Bajaj was honoured as Best Postgraduate Student in Maharashtra by the internationally renowned Pierre Fauchard Academy in 2024.
Dr. Abhay Kolte Professor and Head
  • President of Indian Society of Periodontology (2022-23)
  • Best Patent Award at the Patent and Idea Fest held in Nagpur
  • Keynote speaker at National ISP Parichay held at Guntur in April and Raipur in August 2023
  • Keynote speaker at National ISP Colloquium held at Ambala in January and Pune in February 2023
  • Publication of 2 patents in IPR Journal by Govt. of India
  • Dr. G. B. Shankwalkar Memorial Dental Research Paper Prize for the year 2003
  • Dr. I.R. Goela Award for Best Local Branch Secretary of IDA at National Level 2005-06
  • Dr. U.S. Krishnanayak Award for Best Local Branch President of IDA at National Level 2010
  • Dr. Shardini Dahanukar Best Teacher Award by Maharashtra University of Health Sciences, Nashik 2013
  • Special Appreciation Award of IDA Head Office for Best IDA State Branch President
  • Recipient of a patent for an invention entitled: “A DEVICE USED TO MEASURE AN INTRAORAL DIMENSIONS REQUIRED FOR IMPLANT PLACEMENT”, from The Patent Office, Government of India
  • Recipient of 28 Copyrights from Government of India
  • Recipient of LTRG by MUHS, Nashik in 2014
  • More than 250 National and International publications
  • Edited/Authored Textbook: Fundamentals of Periodontology and Oral Implantology, 3rd Edition, Elsevier publications
  • Keynote speaker at State and National IDA Conferences as well as Specialty Conferences
Important Positions Held
  • Hon. Secretary – Indian Dental Association Nagpur Branch (2004-2006)
  • Organizing Secretary – 62nd Indian Dental Conference, Nagpur (12-15 February 2009)
  • Member – Board of Studies, Maharashtra University of Health Sciences, Nashik (2006–2011 and 2019–2023)
  • President – Indian Dental Association Nagpur Branch (2008-09)
  • Organizing Chairman – 41st National Conference of Indian Society of Periodontology, Nagpur (October 2016)
  • President – Indian Dental Association Maharashtra State Branch (2017-18)
  • Hon. Secretary – Indian Society of Periodontology (2016–19)
  • President – Indian Society of Periodontology (2022–23)
Dr. Rajashri Kolte
  • Awarded merit by Indian Society of Periodontology for standing first in the subject of Periodontology at the final professional examination, 1995.
  • Colgate Gold Medal for obtaining highest percentage of marks in BDS examination by Nagpur University, 1996.
  • Prizes in various essay competitions held by ISP and IDA in 1997, 1998, 1999, and 2013.
  • Recipient of a patent for an invention entitled: “A DEVICE USED TO MEASURE AN INTRAORAL DIMENSIONS REQUIRED FOR IMPLANT PLACEMENT”, from The Patent Office, Government of India.
  • Recipient of 18 copyrights from Government of India.
  • Recipient of LTRG by MUHS, Nashik in 2014.
  • Guide for Undergraduate Students for STRG by MUHS, Nashik.
  • Recipient of Commendation Prize for paper presentation in Clinical Research category at ISPCON Bhubaneshwar 2022.
  • More than 110 National and International publications.
  • Contributed chapters in textbook: Fundamentals of Periodontology and Oral Implantology, 3rd Edition.
  • Reviewer for National and International peer-reviewed journals.
  • Has attended various local, state, and national-level specialty conferences and presented scientific papers.
Dr. Surekha Rathod FAIMER FELLOW
  • PhD awarded by MUHS Nashik, January 2022.
  • Patent granted by Govt. of India: Title – “A process for preparing stable locally acting sustained release composition of melatonin.”
  • Patent published by Govt. of India: Title – “A gel composition for treatment of chronic periodontitis and method preparation thereof.”
  • 12 copyrights granted by Govt. of India.
  • PG and PhD Guide; PhD Examiner.
  • Total of 96 national and international publications; contributed a chapter in the textbook Fundamentals of Periodontology and Oral Implantology, 3rd Edition.
  • Awarded Long Term Research Grant by MUHS Nashik (2022–2023).
  • Holds Bachelor’s degrees in Psychology and Journalism.
  • VIHASA Facilitator.
  • Best Performer Award in 2014; First Prize in ISP Essay Competition – 2016; Second Prize in ISP Essay Competition – 2019.
  • Presented scientific papers and posters at national and international conferences.
  • Awarded Travel Grant for international conference by MUHS Nashik.
Dr. Dhawal Mody
  • Chairperson for Scientific Session at the 44th ISP National Conference, Bangalore, November 2019.
  • Speaker for Listerine Lecture Series 2019 on Oral Hygiene Day, August 2019.
  • Faculty speaker at IDC, Indore, January 2019.
  • Recipient of 2 copyrights from Government of India.
  • Recipient of Long Term Research Grant (LTRG) by MUHS Nashik.
  • 15 research paper publications in national and international journals.
  • Presented papers and posters at national conferences.
  • Consolation prize in essay competition held on International Yoga Day, June 2018.
  • Best Individual Performer for the year 2019 at VSPM Dental College and Research Centre, Nagpur.
  • Contributed chapter in textbook: Fundamentals of Periodontology and Oral Implantology, 3rd Edition.
Dr. Kamalkishor Mankar
  • Judge for Poster Competition at the 44th ISP National Conference, Bangalore, November 2019.
  • Award for Best Scientific Paper Presentation by IDA Nagpur, 2006.
  • Recipient of Short Term Research Grant (STRG) from MUHS Nashik, 2016.
  • Guest speaker in intern’s orientation program.
  • 14 national and international publications.
  • Scientific paper and poster presentations in national and international conferences.
  • Contributed chapter in textbook: Fundamentals of Periodontology and Oral Implantology, 3rd Edition.
Dr. Vrushali Lathiya
  • Recipient of six copyrights and two patents from the Government of India.
  • Best Scientific Paper Presentation at the National Conference of Indian Society of Oral Implantology held at Nagpur from 19th to 22nd January 2023.
  • Recipient of ICMR-STS grant for the year 2023–2024.
  • Best Emerging Talent Award for the year 2020–2021 awarded by VSPMAHE.
  • Contributed as author in the chapters “Periodontal Medicine” and “Sonic and Ultrasonic Instrumentation” in the textbook Fundamentals of Periodontology and Oral Implantology.
  • Second Prize in Essay Competition conducted by Indian Society of Periodontology in November 2019.
  • Best Research Paper Award by IDA Nagpur, January 2019.
  • First Prize in Scientific Paper Presentation at the 57th Maharashtra State Dental Conference, Pune, in November 2018.
  • Second Prize in Essay Competition conducted by IDA Nagpur Branch in April 2020.
  • Second Prize in E-Slogan Competition on International Yoga Day, 21st June 2020.
  • First Prize in Poster Presentation on International Yoga Day, June 2019.
  • First Prize for ‘100 Metres Running’ at “DHADKAN” Annual College Fest, February 2020 and Second Prize in Sketching Competition at the same event.
Dr. Pranjali Bawankar
  • Awarded Dr. R. B. Mankar Second Most Active IDA Member, 2022.
  • Best Emerging Talent of the Year for the academic session 2020–2021.
  • Contributed in the textbook Fundamentals of Periodontology by Elsevier Publications.
  • Owner of 6 copyrights from the Government of India.
  • 1 patent published by IPR India.
  • Presented papers and posters at national and international conferences.
  • Second Prize in ISPRP National Essay Competition in Staff Category.
  • First Prize in Essay Competition in Staff Category organized by SWA Committee, VSPM DCRC, Nagpur.
  • 34 research paper publications in national and international journals.
Dr. Neha Deshpande
  • Third Prize in Paper Presentation on the topic “Assessment of anaemia of chronic disease in healthy subjects and chronic periodontitis patients – A clinical and haematological study” at the 11th ISP National Convention, Lucknow, 6th–8th April 2012.
  • Shri D.B. Lachure Award for Best Scientific Paper (PG Student) for the same topic at the IDA Annual Academic Awards, 2011–2012.
  • Second Prize in Paper Presentation on the topic “A Clinical and 3DCT Evaluation of Bone Graft and Guided Tissue Regeneration in Grade II Furcation Defects – A Case Series” at NIDACON held on 12th–13th January 2013.
  • First Prize in Quiz Competition at “Perioquest” held at VSPM Dental College and Research Center, Nagpur, on 6th April 2013.
  • Recorded informative videos for the textbook Fundamentals of Periodontology and Oral Implantology.
  • Recipient of 3 copyrights from Government of India.
  • Recipient of Long Term Research Grant by MUHS Nashik for the year 2022–2023.
Dr. Prachi Rathi
  • Second Prize in Poster Presentation at NIDACON, held at Nagpur on 26th January 2019.
  • 7 articles published in PubMed-indexed journals till date.
  • Third Prize in International Yoga Day Poster Presentation Competition, held at VSPM Dental College, Nagpur on 21st June 2019.
  • First Prize in ISP National Essay Competition. Topic: “Critical Appraisal of the New Classification for Periodontal Diseases.”
  • Award for Best Scientific Poster Presentation by IDA Member, instituted by Dr. S. G. Damble (PG Category).
  • Annual Award for the Year 2018–2019 by Indian Dental Association, Nagpur Branch.
  • Third Prize in ISP National Essay Competition, 2023. Topic: “Final Verdict on the Use of Pre-, Intra-, and Post-Surgical Medications in Periodontal Diseases.”
  • Three copyrights published in the Copyright Office, Govt. of India in 2024.
  • Two patents published in 2024 at the Patent Office, India.
  • Two books published.
Dr. Vinisha Bajaj
  • Granted national patent by Government of India for developing a rechargeable periosteal elevator in 2025.
  • First Prize for Scientific Paper Presentation at the National Cynodent Conference in 2024.
  • Honoured as the Best Postgraduate Student in Maharashtra by the internationally renowned Pierre Fauchard Academy in 2024.
  • Second Prize in Table Top Clinics in PG Category at RDDCRC in 2023.
  • Second Prize in National Essay Competition by the Indian Society of Prosthodontics, Restorative, and Periodontics in 2022.
  • Consolation Prize for Scientific Paper Presentation at the ISP National Conference in 2021.
  • FADS Best Article Award in Dental Dialogue by IDA Maharashtra State Branch in 2021.
  • Three copyrights from the Government of India.
  • Second Prize in ISP National Video Blogging Contest in 2020.
Dr. Aishwarya Dahake
  • Three PubMed-indexed publications.
  • One copyright from the Government of India.
  • 11 books published by Lambert Academic Publishing.
  • Faculty at MUHS Implant Fellowship Course (2024–25).
  • First Prize in Poster Competition at RDDCRC in 2023.
  • First Prize in Poster Competition at Nagpur IDA Conference in 2022.
Periodontal diseases have affected mankind since the earliest of times. Current research has been demonstrating that a person’s overall health is related to his oral health. Thus, the elimination of oral infections is important to overall health.
Since long, research has been the prime focus of the department with research activities focusing largely on the pathogenesis of periodontal diseases and the various Surgical and Non-Surgical treatment modalities employed for its cure.
Clinical and Biochemical studies are being carried out in the department to evaluate the effect of Periodontal therapy on the biochemical markers of inflammation along with the clinical parameters. Also, the studies analyzing the effect of newer bone graft materials and Guided Tissues Regeneration in Periodontal Regeneration are being done on a regular basis.
A recent focus of departmental research is on the effect of newer treatment modalities like LASERS and Photodynamic therapy in the treatment of periodontal diseases. Also, there is research going on in the field of Dental Implants and related complications. The Department emphasizes using recent and advanced diagnostic aids like PCR, ELISA and also more accurate imaging modalities like CBCT with these aids being regularly used in the studies going on in the Department.
Extensive research work is done in the department by the Postgraduate students and the Staff. The Department of Periodontics and Implantology practises modern treatment modalities with state of the art, technologies available.
RESEARCH DETAILS FOR THE YEAR 2023- 2024
Total no of research projects completed:11
Ongoing research projects:13
Patents: 
  • Granted -3
  • Patents published - 17
  • Patent in process -5
Publications: 
17- Indexed publications,
4 – Non Indexed publication.

Research Grants Approved: 02
ICMR STS-01
ISP PhD -1

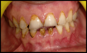
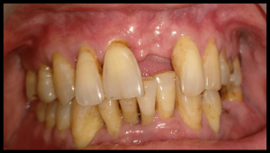
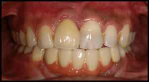
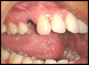
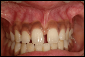
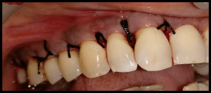
TREATMENTS

 

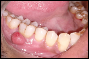
Abscess Drainage

Pre Treatment
Intra Treatment
Post Treatment

Clp

Pre Treatment
Post Treatment

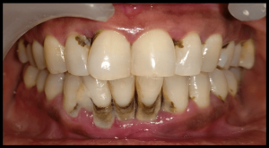
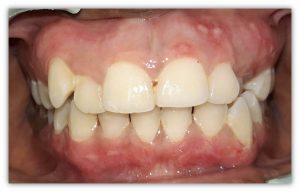
Depigmentation-1

Pre Treatment
Intra Treatment
Post Treatment

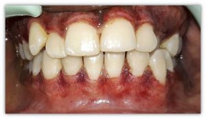
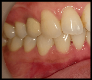
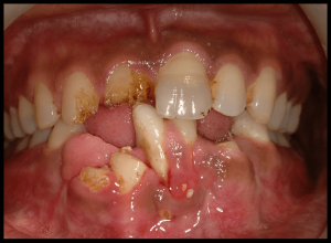
Flap Surgery

Pre Treatment
Suture Treatment
Post Treatment

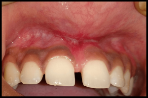
Frenectomy

Pre Treatment
Intra Treatment
Post Treatment

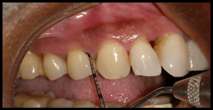
Immediate Implant

Pre Treatment
Intra Treatment
Post Treatment

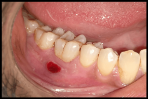
Immediate Implant 2

Pre Treatment
Intra Treatment
Post Treatment

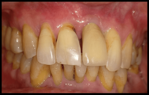
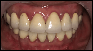
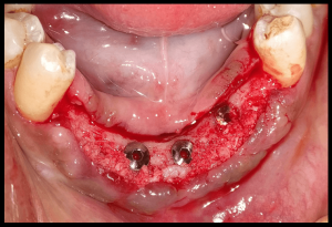
Implant

Pre Treatment
Intra Treatment
Post Treatment

SERVICES

 
Sr No. Name of Procedure Performed
1. Implant Placement
2. Implant placement with ridge split
3. Laser Depigmentation
4. Laser Frenectomy
5. Root section
7. Hemisection
8. Fibroma excision
9. Tongue Tie
10. Free gingival graft
11. Vestibuloplasy
12. Guided Tissue regeneration
13. PRP/PRF
14 Direct Sinus lift
15 Indirect Sinus Lift
16 Socket preservation using GBR and DFDBA
17 Periodontal Flap Surgery
18 Gingivectomy
19 Crown Lengthening
20 Bone Grafting Procedures
21 Scaling and root planning

TESTIMONIALS

 

Accessibility Toolbar

Scroll to Top