RD Dental College

RANJEET DESHMUKH DENTAL COLLEGE & RESEARCH CENTRE, NAGPUR-440019

(Formerly, VSPM Dental College and Research Centre)

Recognized by Dental Council of India, Affiliated to Maharashtra University of Health Science, Nashik

(NAAC Accredited & ISO 21001:2018 Certified)

Prosthodontics

 

DEPARTMENT OVERVIEW

Department of Prosthodontics strives to continue on the journey embarked 25 years back maintaining high standards of quality and ethics in patient care and academics. We aspire to motivate our undergraduate and post graduate students to inculcate qualities of discipline, integrity and professionalism combined with empathy and dedication towards patients visiting the department.

The specialty is the BACKBONE of dentistry and provides training to a student right from first year to final year. It also serves to large majority of patients coming to the institute offering state of art treatment in affordable rates.

We contribute to the society at large by conducting free denture camps, provide solace to the patients at our Maxillofacial Centre ‘PRAYAAS’ and also work for the updating of the dental fraternity by organizing various continuing dental education workshops and programs.

FACULTY

Dr. Neelam Pande

Professor & HOD

Dr. Saee Deshmukh

Professor

Dr. Rajlakshmi Banerjee

Reader

Dr. Anuj Chandak

Reader

Dr. Akhil Rathi

Reader

Dr. Priti Jaiswal

Reader

Dr. Ojas Gajbhiye

Senior Lecturer

Dr. Richa Sahai

Senior Lecturer

Dr. Samidha Pande

Senior Lecturer

Dr. Vijeta S. Gajbhiye

Senior Lecturer

Dr. Jyoti Sharma

Senior Lecturer

Dr. Anushree Bhoge

Senior Lecturer

Dr. Shreyasi Jogi

Senior Lecturer

Dr. Ramnath Revankar

Senior Lecturer

Dr. Jayashree Joshi

Lecturer

Dr. Jaishree Chahande

Lecturer

Dr. Anita Kahar

Lecturer

Clean Accordion
Dr. Priya Gupta
  • 1st Prize in Paper presentation “Evaluation of risk factors and Clinical manifestation of temporomandibular joint disorders diagnosed according to RDC/TMD Axis Criteria- A case control Study” at 47th IPS Raipur
  • 2nd prize in Paper Presentation on “Color stability of maxillofacial silicones- a systematic review” at Posthocon 2019.
Dr. Sumeet Jalan
  • 1st Prize in Poster Competition on “Awareness of oral health in geriatric people” on the occasion of International day of older persons on 1st of October 2020.
Dr. Kalyani Deshmukh
  • 3rd prize on short implants for Paper Presentation on “Atropic mandibular and maxillary ridges- a systematic review” on 48th IPS National Conference, 3-6th December 2020 Nagpur.
  • 1st Prize in intercollegiate Debate Competition on “Facebow transfer” on Prosthodontist day 2020 at VSPMDCRC.
  • Budding Prosthodontist Award by IPS Nagpur Branch, 13th March 2022
  • Highest in College for Final MDS Theory Examination and 3rd Highest in MUHS Nashik University for Final MDS Theory Examination 19th September 2022.
Dr. Twinkle Hatmode
  • 3rd prize on short implants for Paper Presentation on “Atropic mandibular and maxillary ridges- a systematic review” on 48th IPS National Conference, 3-6th December 2020 Nagpur.
  • 2nd prize on “practicing yoga in Covid 19” on International yoga day 2020.
  • 1st Prize in E-poster on “Quality of Life in Geriatric Patients: Various factors to consider” on the occasion of International Day of Older Person – 1st October 2021.
  • Book published titled “Sleep Disorders: Sleep Apnoea and its Prosthodontic Management” in LAP Lambert Academic Publishing (ISBN-13: 978-6203307658) on 1st Feb 2021.
Overall Department Achievements:
  • Awarded as “Best Department” on 26th January 2025 and 2024 for 2 consecutive years.
  • MUHS Affiliated Fellowship in “Esthetic and Cosmetic Dentistry” started in 2023.
  • Organized 48th Indian Prosthodontics Society’s National Conference, Nagpur-3rd – 6th December 2020 in association with IPS Nagpur Branch; 17th Indian Prosthodontics Society’s National Post Graduate Convention –10th -12th July 2015 and First State Level Conference of Indian Prosthodontic Society, “ESTHETICON 2022” in conjunction with IPS Nagpur Branch.
  • Conducting Add-on Course on “Digital Prosthodontics” and Value-added Course on “Emotional Intelligence: An important aspect for dental students”.
  • Usha Radke, “Permanent Executive Committee member” of Indian Prosthodontic Society, Nagpur Branch. & Dr. Neelam Pande, “Executive Committee member” IPS Head Office (2019 – 21) & Dr. Saee Deshpande, selected as “Subject Expert” in the specialty of Prosthodontics Competency Based UG & PG Curriculum by DCI, 2020.
  • Conducted more than 12 Pre-convention courses at Indian Prosthodontics Society’s National Conferences and Conventions & Organized “PROSTHOCON” specialty Conference and CDE Programs for Post-Graduates and Undergraduate students every year.
  • Awarded as “Best Department” on 26th January 2014.
  • Research Grants- 3 projects till now by staff members received MUHS-LTRG Grant and ITI SG Grant worth 11 Lakhs for 2016-18. 10 Undergraduate students received MUHS Short Term Research Grant/ ICMR STS grant.
  • 3 previous & 2 Functional MOU’s for Interdisciplinary Research– 1) RST & department of Prosthodontics, VSPMDCRC on 30/04/2016. 2) P.C. Jacob & department of Prosthodontics for Maxillofacial Rehabilitation Centre for Excellence, VSPMDCRC on 01/03/2016 & 3) VNIT –Department of Metallurgy & Department of Prosthodontics on 29/03/2016. 4) ITI- For Add-on Course with ITI -2021 Onwards 5) RST- for Maxillofacial & Cancer patients-2022 onwards.
  • 294 Publications in various International & National PubMed & Non-Indexed Journals.
  • 397 Completed Research Projects, 55 Ongoing Research Projects and 3 Inter-professional research of Faculties, Post Graduate and Under Graduate students.
  • 4 Patents registered and 23 Copyrights published.
  • Drug Clinical Trial 2021: A Phase IV, Prospective, Single-Arm, Multicentre Study to determine the Safety and Effectiveness of Lidocaine 2% viscous solution with Dr. Reddy’s laboratory. Subjects who require study treatment for reducing gagging during taking of X-Ray and Dental Impressions.
  • “Prayaas”–Centre for Maxillofacial Rehabilitation for providing post cancer prosthetic rehabilitation at affordable cost & Developed Mobile App – “Prayaas” for ‘Oral Cancer Awareness’ amongst general population.
  • Extension Activities/ Specialty Camps: a) Free Denture Camps etc. b) Mucormycosis Task Force to treat mucormycosis patients of Nagpur-organized by Dept. Of Prosthodontics, VSPM’s DCRC, Nagpur in association with IPS Nagpur Branch 2020-21. c) During 2020-21- Online dental education awareness camp with Institute of Science, Innerwheel & Jyeshtha Nagrik Mandal by faculty and PG’s
Dr. Neelam Pande
  • Two Patents and Four Copyrights published during 2023-25.
  • Received “High Impact Award” at e-MEDIC 2021, for demonstrating selfless Team work solving problem titled “Tooth preparation to receive full PFM Restorations” at Medical Device innovation virtual camp e-MEDIC in October 2021, by BETIC IIT Mumbai.
  • Received “Prostho-Maestro” award during 2021 from IPS Nagpur Branch.
  • Organizing Co-Chairman of 48th IPS National Virtual Conference 2020, Nagpur, in December 2020.
  • President IPS Nagpur Branch (Yr.2019 – 20). Executive Committee member IPS Head Office (2019 – 21) & Editor, IPS Nagpur Branch (2022-25).
  • Completed Advance certificate course in Health Science Education Technology, MUHS, Nasik, in 2018.
  • Received Research grant (LTRG from MUHS, Nasik) in 2018 for the project titled “Quantification & Characterization of Solid waste generated in Department of Prosthodontics, VSPM’s DCRC, Nagpur.
  • Chief Convener of Registration Committee during 17th IPS Post-Graduate Students Convention, hosted by VSPM Dental College & hospital, Nagpur in July, 2015.
  • Best Teacher award at VSPM. DCRC, Nagpur in 2008. Recipient of Most active outstanding IDA Member Award, 2004 IDA Nagpur Branch M.S. Recipient of Best paper award for paper presentation at 57th Indian Dental Conference, Kochi, January 2003.
  • Guest Speaker at National & International Specialty Conferences & Workshops. And Mentor for Pre-convention workshops during Specialty Post-graduate Conventions. Published three online books titled i) “Complications & Failures in Implantology” LAP LAMBERT Academic Publishing. ISBN:978-613-9-99863-0. ii) “Laminate veneers” LAP LAMBERT Academic Publishing. ISBN-13: 978-620-2-56497-7. iii) “Esthetics in Implants” LAP LAMBERT Academic Publishing. ISBN: 978-620-2- 67306-8.
Dr.Saee Deshmukh
  • Received MUHS LTRG worth 1,60,000/- for research project titled ‘Evaluation of oral health related quality of life, masticatory efficiency and patient satisfaction in patients with implant assisted removable cast partial dentures: A Clinical Trial’ in 2025
  • Guest Speaker at 15 Basic and Advanced Research Methodology Workshops under MUHS Nashik. 6 Copyright and 2 Patents published.
  • Chief Editor- Journal of Advances in Dental Practice and Research (JADPR) 2022 and Associate editor- Journal of Education Technology in Health Sciences and Editorial Board Member of Journal of Indian Prosthodontic Society (Indexed in Pubmed) 2016-2021.
  • Winner of Best Product Design Award for developing and designing a device to prevent and treat Bruxism in ‘e-Medha Medical Device Hackathon’ organized by BeTiC IIT Bombay on 8-16 May 2021 and Winner of Silver Medal in mobile app category in International Virtual Learning Conference hosted by IMU Malaysia Nov. 2020
  • Student research project granted MUHS STRG 2019, 2021 and Student research project granted ICMR STS grant 2021-22
  • Selected as Subject Expert in the specialty of Prosthodontics Competency Based UG & PG Curriculum by DCI, 2020. Selected as an Associate Fellow–Association for medical education in Europe 2018 & Selected for IPS-JPS International Scientific Exchange Programme 2009 & visited Tsurumi University, Yokohama, Japan as a Research Scholar to study Obstructive Sleep Apnea.
  • Research project awarded as Best Innovation in ORAL HEALTH INNOVATIONS CONFERENCE 2019, organized jointly by Ministry of Health & Family Welfare & Centre for Dental Education & Research, All India Institute of Medical Sciences, New Delhi & Best paper presentation prize at Conference on Digital Dentistry supported by Dept. of Science & Technology hosted at Visveswaraiya National Institute of Technology Nagpur 2018.
  • Best individual performer award in 2018 and Emerging Young Talent Award in 2012 by VSPM’s Academy of Higher Education. Awarded Fellowship in Oral Implantology in 2016 and Teachers’ Scholarship Award in 2012-13 by MUHS, Nashik for educational Research Project.
  • 13 Keynote lectures at various National and International Conferences and 40 Scientific Presentations at various International, National, State Conferences till date. Plaque of appreciation from Indian Prosthodontics Society Head office as Organizing Secretary of 48th IPS Conference at Nagpur 2020 & as a Scientific Convener of 17th IPS PG Convention at Nagpur 2015
  • Research project titled ‘Performance of Mandibular implant related overdenture: Effect of attachment type on patient satisfaction’ has been selected for Short Grant by International Team for Implantology (ITI)-2016 worth Rupees 11Lacs.
Dr.Rajlakshmi Banerjee
  • Awarded ‘Best Individual Performer’ in Teacher category with more than 10 years teaching experience by VSPMAHE on 26th January 2025
  • Presented Paper and attended AAP international conference at Chiba, Japan from 5-8 July 2024
  • Elected as Secretary, IPS Nagpur branch for term 2022-2025 of IPS Nagpur Branch.
  • Organizing secretary of IPS Nagpur branch regional level conference on FMR on 21st April 2024.
  • Guest speaker for IDA, Akola branch conference on ‘Esthetic Anterior restorations…. Crown and Bridge’ 14th April
  • Awarded ‘Best in Session’ for Faculty Paper presentation in the 51st National conference of Indian Prosthodontic society at Goa from 7th-10th December 2023 on ‘Antioxidant therapy- Can it be a wonder drug to prevent implant failure?’
  • Guest speaker at IPS Kerala branch webinar series 2023 and at multidisciplinary seminar on Update in Cancer organized by RST regional cancer institute, Nagpur on 11 December 2022 and Guest speaker at 23rd PG Convention of Indian Prosthodontic Society at Jaipur in 2021.
  • Scientific Co-Chairman at 48th IPS National Conference and Editor for ‘Journal of Prosthetic rehabilitation’ by Nagpur IPS from 2019-2022 and Chief Coordinator for E-Prosthocon 15 days’ webinar series dated on 3rd to 17th August 2020.
  • ‘Best Individual Performer’ for the year 2018 on 26th January 2019 by VSPM AHE, Nagpur.
  • Awarded the ICD Bronze Award for Faculty Paper presentation at the ICD Convention and Famdent show at Nagpur, on 24th-25th March, 2018.
Dr.Anuj Chandak
  • Patent early publication on “A Universal Adjustable Impression Tray” on 19th February 2025.
  • Copyright accepted on “Emotional Learning: An Important Aspect for Dental Students” on 22nd October 2024.
  • Invited as Chairperson at NIDACON, April 2024, Nagpur.
  • Speaker for “Maxillofacial Prostheses” in interdisciplinary department at Ranjeet Deshmukh Dental College & Research Centre on 9th February 2024.
  • Chairperson for Scientific Faculty Paper at the 48th IPS National Conference, Nagpur (3rd–6th December 2020).
  • Book published: “Aesthetics in Implants” by Lambert Academic Publishing, August 2020.
  • Mentor for Pre-Conference Course titled “Decoding Temporomandibular Disorders – A Simplified Approach” at 21st IPS PG Convention, Ahmedabad, April 2019.
  • Conducted “PROSTHOQUEST” Intercollegiate Postgraduate Quiz Competition on the occasion of World Prosthodontist Day on 22nd January 2018 at VSPM DCRC, Nagpur.
  • Presented a guest lecture at RST Cancer Institute and Research Centre titled “Extra Oral Prosthesis – An Update” on 30th November 2018, Nagpur.
  • Presented paper titled “Evaluation of Impact of Inter-professional Education Module Regarding Dentistry on Medical Students: A Cross-Sectional Study” at Educational Research International ERICON-2017, Pre-Conclave & Conclave at Le Meridien, Nagpur (18th–19th February 2017).
  • Judge in scientific session at two-day conference on “Maxillofacial Rehabilitation: Building Competencies to Enhance Outcome,” 2022 at VSPM Dental College, Nagpur.
Dr. Akhil Rathi
  • Patent early publication on “A Universal Adjustable Impression Tray” on 19th February 2025.
  • Copyright accepted on “Emotional Learning: An Important Aspect for Dental Students” on 22nd October 2024.
  • Invited as Chairperson at NIDACON, April 2024, Nagpur.
  • Speaker for “Maxillofacial Prostheses” in interdisciplinary department at Ranjeet Deshmukh Dental College & Research Centre on 9th February 2024.
  • Chairperson for Scientific Faculty Paper at the 48th IPS National Conference, Nagpur (3rd–6th December 2020).
  • Book published: “Aesthetics in Implants” by Lambert Academic Publishing, August 2020.
  • Mentor for Pre-Conference Course titled “Decoding Temporomandibular Disorders – A Simplified Approach” at 21st IPS PG Convention, Ahmedabad, April 2019.
  • Conducted “PROSTHOQUEST” Intercollegiate Postgraduate Quiz Competition on the occasion of World Prosthodontist Day on 22nd January 2018 at VSPM DCRC, Nagpur.
  • Presented a guest lecture at RST Cancer Institute and Research Centre titled “Extra Oral Prosthesis – An Update” on 30th November 2018, Nagpur.
  • Presented paper titled “Evaluation of Impact of Inter-professional Education Module Regarding Dentistry on Medical Students: A Cross-Sectional Study” at Educational Research International ERICON-2017, Pre-Conclave & Conclave at Le Meridien, Nagpur (18th–19th February 2017).
  • Judge in scientific session at two-day conference on “Maxillofacial Rehabilitation: Building Competencies to Enhance Outcome,” 2022 at VSPM Dental College, Nagpur.
Dr.Priti Jaiswal
  • Chairperson & Judging scientific Sessions at DENTIVANCE- THE SCIENTIFIC FEST” on 6th May 2025, the NIDACON 2025 Nagpur 12th Jan 2025, NIDACON 2024 Nagpur from 17th Feb – 18th Feb 2024, Sync National Dental Conference held from 15th to 17th February 2023, Nagpur at VSPMDCRC, NIDACON 2023 from 15th to 16th April 2023 at Nagpur, 23rd IPS PG Convention 2021, Mahatma Gandhi Dental College & hospital Jaipur, Rajasthan, India 2nd-4th July 2021, at 49th IPS National Virtual Conference 2021 Chennai, India 1st-5th December 2021, at NIDACON 2022 held at Nagpur from 8th – 10th April 2022, at NIDACON 2020 held at Nagpur on 29th Feb & 1st March 2020.
  • Scientific Paper Presentation :at the 133rd Annual Meeting of Japan Prosthodontic Society/ the 14th Asian Academy of Prosthodontics on 7th July 2024, Chiba, Japan, NIDACON 2025, Nagpur on 17th Feb ,ISOI 2023-Nagpur 19th -22nd January 2023, 50th Golden Jubilee Conference of Indian Prosthodontic Society Leela Ambience Convention Hotel, New Delhi on 10th -13th Nov 2022, 48th IPS National Conference 2020-Nagpur on 3rd –6th Dec 2020, ICD Scientific Paper Presentation at Famdent 2018, Chitnvis Centre, Nagpur, 24th & 25th March 2018, & Scientific Paper Presentation at the National Conference on Digital Dentistry: CAD, CAM and CAE at VNIT, Nagpur, 10th & 11th August 2018.
  • Received an award and was titled “Prostho Wizard” on Installation Ceremony of IPS Nagpur Branch for the tenure 2022-2023, on 30th Jul 2023.
  • Awarded with Best Emerging Talent (Teaching Staff) for the year 2022-2023 at Ranjeet Deshmukh Dental College & Research Centre, Nagpur.
  • Completed Study on Drug Trial 2022 A Phase IV, Prospective, Single-Arm, Multicentre Study to determine the Safety and Effectiveness of Lidocaine 2% viscous solution and received a grant of Rs 2, 54,700 by Dr. Reddy’s Laboratories Hyderabad. 2021-2022
  • Received Best Scientific Paper Annual Award for 2020-2021 held at NIDACON 2022 held at Nagpur from 8th – 10th April 2022.
  • Securing First Position in Paper Presentation in Practitioner Category at NIDACON 2022 held at Nagpur from 8th – 10th April 2022 Title: An innovative and simple technique of Hollow Maxillary Complete Denture. A case report.
  • 1st winner in Essay competition & 2nd winner in Innovations in Prosthodontics in teaching staff category on the Occasion of Prosthodontist Day on 22nd Jan 2021 at Nagpur.
  • Book Published “LAMINATES” by Lambert Academic Publishing in June 2020.
  • Scientific Poster Presentation and won 1st prize “Reconstructive surgery with autogenous chin block graft and esthetic rehabilitation of missing anterior tooth after placement of implant” at Implacon 2019 at Le Meridian Nagpur on 10th -11th Aug 2019.
Dr.Ojas Gajbhiye
  • Received first prize (category- Faculty) in photography competition held at NKPSIMS on the occasion of Chhatrapati Shivaji Maharaj Jayanti 19th February 2025.
  • Received Best Individual Performer award on 26th January 2025 at RDDC Nagpur.
  • 2nd book published: Geriatric Fuel: Enhanced Aging in Aging Adults by BLUE ROSE Publishers, on 3rd September 2024.
  • Felicitation for giving 109 blood donors on a single day, at NKP SIMS, Nagpur on 15 April 2024.
  • Indian Board of Prosthodontics (DNB) – IBP Part 1 exam cleared at 51st IPS Con, Goa on 7th December 2023.
  • Published library dissertation: Prosthodontics Considerations in Geriatric Patients through BLUE ROSE Publishers, in September 2023.
  • Felicitation by the hands of Dr. Vilas Thombre (Vice Dean – NKPSIMS) for the noble gesture – Blood donation camp at NKPSIMS & RC, LMH- BLOOD & COMPONENT CENTRE, Digdoh Hills, Nagpur.
  • Patent published on 30th September 2022 – Formulation and evaluation of curcuma longa and phyllanthus emblica loaded silica particles as dental plaque inhibitors.
  • Patent published on 11th March 2022 – Medical products automated monitoring system using IoT technology.
  • Guest speaker at VSPMDCRC, on the occasion of International Men’s Day program on 2nd December 2021.
Dr. Richa Sahai
  • Awarded Fellowship and Senate member at Pierre fauchard Academy USA, 2024
  • Prostho-Star, outstanding performance as a Prosthodontist by INDIAN PROSTHODONTIC SOCIETY, NAGPUR 2024
  • 10 copyrights, 25 publications till date
  • Keynote Lecture on Finessin’ English – A Spoken English Program June 2025 with being the moderator/Chairperson of various CDE and Presentations till date
  • Patent design registration titled “Adjustable angulation Dental Probe” with government of India- June 2024 and 2 patents registered in 2023.
  • Awarded Fellowship in Sports Dentistry by ISPA, Chicago, USA, September 2023.
  • Received Short Term Research Grant (STRG) as a Guide worth 2 lakhs only for a study titled “The influence of kidney stone on dental calculus formation and oral health status among patients in Nagpur Region: A cross sectional study – September 2023
  • 1st Prize in Delegate Paper Presentation at 28th National Conference of ISOI 2023, Nagpur on 18th -22nd January 2023.
  • Fellowship in – Sports Dentistry from ISPA CHICAGO – USA September 2021and Fellowship in Nobel Biocare, August 2021.
  • Section editor and Reviewer at JADPR (RDDCRC), IJDSIR, IPAPRD from 2021 till date.
Dr. Samidha Pande
  • Awarded 1st prize as session best paper presentation at 30th National ISOI Conference held in Indore 27th to 29th September 2024
  • Published Article in a special magazine for senior citizens named “Uttarayan” in October 2024
  • Paper presentation at 52nd IPS Conference held in Goa in December 2023.
  • Article in Hitvada on “Parents, School teachers should make children aware of dental care” in November 2023.
  • Author of Series of articles related to oral health awareness “Arogya mantra” published in “Maharashtra Times” all editions overall Maharashtra in June 2023.
  • 4 Copyrights published in year 2022-23.
  • Patent titled Designing and Developing a clinical merit of Bioactive Glass in Restorative Dentistry, registered with government of India as Third Author in 2023.
  • Certification in ITI QuickStart Program in the year 2021.
Dr. Vijeta Gajbhiye
  • Moderator for CDE on Bonded Aesthetic restoration at RDDC, Nagpur on 14th June 2024.
  • Co-ordinator at CDE Program as part of Fellowship in esthetic and cosmetic dentistry on 29th & 30th November 2024 (MUHS affiliated course at RDDC, Nagpur).
  • Co-ordinator at CDE & Workshop Program as part of Fellowship in Implantology on 6th & 7th Jan 2025 at RDDC, Nagpur.
  • Co-ordinator at CDE & Workshop Program on Digital Dentistry on 6th & 7th Jan 2025 at RDDC, Nagpur.
  • Completed online course of SWAYAM titled “Introduction to Systematic Reviews for Dental Health Professionals” in July 2024 with a score of 83%.
  • Two copyrights done and five publications till date.
  • Presented paper at 30th National Conference of Indian Society of Oral Implantology in September 2024.
  • Reviewer of Journal of the International Clinical Dental Research Organization.
  • Reviewer of Journal of Advances in Dental Practice and Research.
Dr. Jyoti Sharma
  • Co-ordinator for “A Panoramic Approach to Full Mouth Rehabilitation” event of IPS Nagpur Branch at Chitnavis Centre, Nagpur dated 21st April 2024.
  • Co-ordinator for “Esthetic and Functional Implant Supported Rehabilitation: Challenges and Solutions Demystified” event of IPS Nagpur Branch at Amravati University dated 21st September 2024.
  • Co-ordinator for CDE program and workshop on Implant Prosthesis for Fellowship in Esthetic and Cosmetic Dentistry (MUHS affiliated course).
  • Completed online course on SWAYAM titled “Introduction to Systematic Reviews for Dental Health Professionals” in May 2024 with a score of 90%.
  • Completed online course on SWAYAM titled “Scientific Writing in Health Research” with a score of 81%.
  • Presented paper at the 30th National Conference of Indian Society of Oral Implantology in September 2024.
  • Reviewer of Journal of the International Clinical Dental Research Organization.
  • Reviewer of Journal of Advances in Dental Practice and Research.
  • Worked as an associated faculty for Fellowship in Esthetic and Cosmetic Dentistry (MUHS affiliated course).
Dr. Anushree Bhoge
  • Received the Dr. Jacob Hyson Award from IPS Kerala State Branch for the best scientific article (Third Prize) published in JPID Journal.
  • ITI certificate for completing the course of “Basic in Implantology”.
  • Awarded First Prize in the Innovations Competition organized on Prosthodontics Day at VSPM DCRC, Nagpur.
  • Received Best in Session prize for the Table Clinic Presentation on “EVAC AERO: The Modified Extra Oral High Vacuum Evacuator” at the 48th IPS 1st Virtual National Conference.
Dr. Jayashree Joshi
  • Guest Speaker at 6th Maharashtra State IDA Zonal Dental Convention, 2024. Also speaker at CDE, IDA Nagpur Branch 2024.
  • Organizing Team Member at 1st International Symposium on Tribal Health, AIIMS, 2025. Also, Convener, Scientific, at Shakti Samvaad, Akhil Bhartiya Chhatra Parishad, 16th -18th Feb 2024 at Varanasi. Women Cell Convener, IDA Nagpur Branch, since 2023. Co-Chairperson, Faculty Paper, 48th Indian Prosthodontic Society National Virtual Conference, 2020. Convener, Travel and Accommodation, 17th IPS PG Convention, July 2015 and Convener, Registration, 62nd Indian Dental Conference, Nagpur, 2009.
  • Delivered an online lecture at the “Dentistry Excellence Conclave” by Cynodent & Indian Society of Dentistry, March 2025.
  • Faculty, Residents as Teacher Workshop, January 2024 and at Basic Teachers Training Workshop, August 2024.
  • First prize in Scientific Paper Presentation at National Dental Education Technology Workshop 2.0, Nagpur, September 2024. Also, First prize in Scientific Paper Presentation at International Dentists Convention, Lucknow, 6th – 9th Sept 2023. First prize in Scientific Paper Presentation at 61st Maharashtra State Dental Conference, 9th -11th December 2022, Amravati.
  • Second prize in Essay competition at National Essay Competition 2022 in Category-2 – Faculty, conducted by Indian Society of Prosthodontics, Restorative Periodontics (ISPRP).
  • Recipient of Dr. B Subhash Chandra Shetty Award for Best Local Branch Journal, 2020-21, by Indian Dental Association Head Office.
  • Recipient of Best Local Branch President Award by Head Office IDA, 2014 (National level) and by IDA Maharashtra State Branch, 2014 (State level).
  • Ph.D. in Clinical Psychology by Rashtrasant Tukdoji Maharaj Nagpur University, October 2020.
Dr. Jaishree Chahande
  • Selected poster at MUHS FIST’25 TEER-25 Award Competition 2025, 1st Prize for Faculty Paper at National DET Workshop 2023, GDCH, Nagpur and Poster at State Level IPS Conference EsthetiCon 2022, Nagpur; 2nd Prize in Faculty Paper at NIDACON, AIIMS, Nagpur 2024, International Conference ICDRP 2020 and Poster at 1st State Level MUHS DET Conference 2014, Nagpur; 3rd Prize for Faculty Paper at International Conference, Cynodent 2023 and IDA Nagpur Branch e-Essay Competition 2020, Consolation Prize in Faculty Paper Presentation at 61st MSDC Conference 2022, Amravati.
  • Received Eight Copyrights from Copyright Office, Government of India, News Article published in The Hitavada on 18th October 2024 & Contributed to a column “Mission Admission” in Times of India on 5th August 2022.
  • Guided Three Undergraduate students for MUHS Short Term Research Grant.
  • National Editorial Board Member, Associate Editor and Reviewer of JADPR from 2021 till date & Reviewer & Member of Editorial Board of JETHS Journal till 2020.
  • Coordinator of Add-on Course on “Basic Research Methodology & Scientific Writing” & Judge for Research poster presentation, 2021–23 and member of Value Added Course on “Emotional Intelligence” during 2022–2024.
  • Scientific poster presentation Co-convener at National UG Students Conference ‘Sync’ 2023, Co-chairperson of Publicity Committee, Reunion 2023 Nagpur, Scientific Student Paper Co-Chairperson at 48th IPS National Conference 2020, Nagpur & Venue Convener, Poster & Table Clinic Co-convener at 17th IPS PG Convention, Nagpur 10th–12th July 2015 and Scientific Committee Member – NIDACON 2017.
  • Judge for Scientific Poster Presentation at Dentivance 2025, Scientific Paper Presentation at NIDACON in 2016 and Chairperson in the Scientific Paper Presentation at NIDACON 2015.
  • Speaker many times in Interns and 2nd BDS Orientation Programs & Conducted “Lakshya” 2017, 2021, 2022 Quiz contests and Webinar cum Workshop in 2020.
  • 1st Prize in Inter-Collegiate Essay Competition, Best Yoga Performer award & 2nd Prize in e-poster on occasion of International Yoga Day, Organized Inter-collegiate Competitions & conducted Inter-Collegiate Quiz twice on occasion of International Yoga Day on 21st June 2020, 2022 & Chief Co-ordinator in 2022. Received 1st Prizes in sketching two times & 3rd Prize in Painting during Annual Fest.
  • MBA in Healthcare Management & Human Resource Management in 2016 & MBA in Hospital Management with ‘A’ Grade in 2008. President Alumni Association of VSPMDCRC, Nagpur – 2013–2015 & Certified VIHASA Trainer & conducted VIHASA workshops 2014–2021.
Dr. Anita Kahar
  • Delivered online lecture at “Dentistry Excellence Conclave” held from 1st–15th March 2025, organised by Cynodent and Indian Society of Dentistry.
  • Co-investigator/Guide for two Short Term Research Grant Projects organised by ICMR and MUHS, Nashik for the year 2024–25.
  • Best Individual Performer award for the year 2023–24 and for the year 2020–21 from VSPMAHE on 26th January 2025 and 2022, respectively.
  • Two copyrights for practical methods in pre-clinical prosthodontics for undergraduate students on 26th March 2025 and 13th January 2025.
  • BCLS Instructor at Clinical Skill Lab, NKP SIMS, Nagpur on 12th December 2024.
  • Speaker in Third BDS and First BDS Orientation Programmes in 2017, 2019, 2022, and 2025.
  • First Prize in Essay Competition, Indian Society of Periodontology National Essay Competition – 2024, 2020, and 2019 in Category III.
  • First Prize in Essay Competition, Indian Society of Prosthodontics, Restorative, Periodontics (ISPRP) National Essay Competition, January 2022 in Category II.
  • Second Prize in Paper Presentation at 12th World Dental Sciences and Oral Health Conference on 16th & 17th August 2024.
  • Third Prize in Paper Presentation Competition at 4th International Conference on Forensic Odontology & Child Abuse, 29th to 31st March 2022.
 

PG Student Achievements

 
Dr.Indrani Thakur
  • 1 st  prize in scientific paper presentation titled “Nano – technology in Prosthodontics” between 21 st  to 24 th  June 2007 at 9 th  IPS PG convention Sawangi, Wardha.
Dr. Neha Garg
  • 2 nd  prize in scientific paper presentation titled “Zirconia – the metal uses in Prosthodontics” between 6 th  to 10 th November 2009 at 37 th  conference, IPS, Kerala.
Dr. Karishma Shori
  • 1 st  prize in scientific paper presentation titled “Orbital Prosthesis: A clinical report” between 12 th  to 14 th  November 2010 at 38 th  conference, IPS, Indore.
Dr. Maithilee Kolarkar
  • 1 st  prize in scientific paper presentation titled “A hand to a handicapped: A case report of finger prosthesis” at 63 rd  IDA conference, Pune, between 24 th  to 26 th  September 2010.
Dr.Priti Jaiswal
  • 1 st  prize in table clinic presentation titled “Different way to retain split cast mounting” between 14 th  to 16 th June 2013 at 15 th  IPS PG convention, Ghaziabad.
Dr. Nishi Chaurasia
  • 1 st  prize in scientific paper presentation titled “It’s all in your hands…..and feet” between 14 th  to 16 th  June 2013 at 15 th  IPS PG convention, Ghaziabad.
  • 2 nd  prize in scientific paper presentation titled “Implants: Evolution of a Revolution” during 13 th  to 17 th November 2013 at 41 st  IPS conference, Ahmadabad.
Dr.Pranjal Radke
  • 1 st  prize in scientific paper presentation titled “Ergonomics and work-related musculoskeletal disorder (WMSDS)amongst dentist in India” between 17 th  to 19 th  June 2014, at Asia specific Dental Congress, Dubai, UAE.
  • 1 st      prize    in     scientific     paper     presentation titled “Prosthodontic treatment approach in a patient with Acute Otitis Externs (AOE) patient: A case Report” between 17 th  to 19 th June 2014, at Asia specific Dental Congress, Dubai, UAE.
  • 1 st  prize in scientific paper presentation titled “It’s all in your hands….and feet” between 14 th  to 16 th  June 2013 at 15 th  IPS PG convention, Ghaziabad.
  • 1 st  prize in scientific paper presentation titled” Ergonomics and work-related musculoskeletal disorder (WMSDS) amongst Prosthodontist in a health university in India: A Cross-sectional study” between 19 th  to 22 nd  September 2013, at International college of Prosthodontics, Dental congress at Turin, Italy.
  • 1 st  prize in scientific paper presentation titled “Finite element analysis in Implants” between 19 th  to 22 nd  September 2013, at International college of Prosthodontics, Dental congress at Turin, Italy.
  • 1 st  prize in scientific paper presentation in PG student category at IDA Annual Award ceremony, 2014.
Dr.Sayali Kulkarni
  • MUHS, Nashik, University Topper,5 th  rank in MDS Prosthodontics, in summer 2016.Published a book titled “Complications and Failures in Implantology” LAP LAMBERT publishing group, 2019.
Dr. Vinay Kothari
  • 1 st prize in scientific paper presentation titled “Prosthodontic approach to treat obstructive sleep apnea using two different designs of mandibular advancement appliance- A clinical case report” between 4 th to 6 th December 2015 at 43 rd IPS conference, Hyderabad.
Dr. Ishani Bindra
  • 1 st prize in scientific paper presentation titled “Prosthodontic approach to treat obstructive sleep apnea using two different designs of mandibular advancement appliance- A clinical case report” between 4 th to 6 th December 2015 at 43 rd IPS conference, Hyderabad. Dr. Varun Jadhav
  • 1 st  prize in scientific paper presentation titled “Prosthodontic approach to treat obstructive sleep apnea using two different designs of mandibular advancement appliance- A clinical case report” between 4 th  to 6 th  December 2015 at 43 rd  IPS conference, Hyderabad.
Dr.Hiennaa Mahale
  • 1 st  prize in scientific paper presentation titled “shortened dental arch concept: a survey on the views of dentist” between 5 th  to 6 th  February 2016 at NIDACON Nagpur.
  • 1 st  prize in scientific paper presentation titled “An investigation of occlusal wear and its various etiological factors in adult patients: A cross sectional study” between 1 st  to 4 th  December 2016 at 44 th  IPS conference Mumbai.
Dr. Sneha Mehta
  • 1 st  prize in scientific paper presentation titled “Esthetic and functional rehabilitation of a worn-out dentition: A case report” between 17 th  to 18 th  march 2018 at PROSTHOCON, VSPM dental college and IPS Nagpur.
Dr. Rahul Tekale
  • 1 st  prize (Co-author) in scientific paper presentation titled “comparative evaluation of three gingival displacement materials for efficacy in tissue management and dimensional accuracy-an in vivo study” between 6 th  to 7 th  July 2018 at 20 th  IPS PG convention, Chennai.
  • 1 st  prize in scientific paper presentation titled “Full mouth rehabilitation in completely edentulous patients by implants “during 26 th  to 27 th  January at NIDACON Nagpur 2019.
Dr. Rahul Tekale
  • 1 st  prize (Co-author) in scientific paper presentation titled “comparative evaluation of three gingival displacement materials for efficacy in tissue management and dimensional accuracy-an in vivo study” between 6 th  to 7 th  July 2018 at 20 th  IPS PG convention, Chennai.
  • 1 st  prize in scientific paper presentation titled “Full mouth rehabilitation in completely edentulous patients by implants “during 26 th  to 27 th  January at NIDACON Nagpur 2019.
Dr. Trupti Bangare
  • 1 st  prize in scientific paper presentation (Co-author) titled “Computerized occlusal analysis and splint therapy for management of TMJ disorder “between 6 th  to 7 th July 2018 at 20 th  IPS PG convention, Chennai.
Dr. Runali Chavan
  • 1 st  prize in scientific paper presentation titled “computerized occlusal analysis and splint therapy for management of TMJ disorder” between 6 th to 7 th  July 2018 at 20 th  IPS PG convention, Chennai.
Dr. Vijeta Gajbhiye
  • 2 nd  prize in scientific paper presentation titled “Evaluation of knowledge and attitude about gingival displacement materials and techniques amongst dental practitioners in Nagpur region-A cross sectional study” during 6 th  to 7 th  January 2018 at NIDACON, Nagpur.
  • 1 st  prize in scientific paper presentation titled “comparative evaluation of three gingival displacement materials for efficacy in tissue management and dimensional accuracy-an in vivo study” between 6 th  to 7 th  July 2018 at 20 th  IPS PG convention, Chennai.
  • 1 st  prize in scientific paper presentation titled “Digitalization: A boon to implant Prosthodontics” between 11 /sup>th  to 12 th  August 2018 at national conference on digital dentistry: CAD, CAM and CAE, VNIT, Nagpur.
Dr. Insiyah Yusuf
  • 2 nd  prize in scientific paper presentation titled “Implant placement in anterior region with PRF bone graft followed by PFM crown” during 26 th  to 27 th  January 2019 at NIDACON, Nagpur.
Dr. Richa Sahai
  • 1 st  prize in essay competition titled “Role of Prosthodontist in digital Era” on 22 nd  January 2019 at Prosthodontics day VSPM dental and IPS, Nagpur
  • 1 st  Prize in intercollegiate Essay Competition on “Role of Prosthodontist in modern era “on Prosthodontist day 2019at VSPMDCRC.
  • 1 st  Prize Paper presentation on “Virtuality to reality! Future beacons of digital workflowin maxillofacial prosthesis” at Prosthocon, Nagpur – 16 th & 17 th  February 2019.
Dr.Suyog Bahiramwar
  • 2 nd  Prize in intercollegiate Essay Competition on “Virtual Articulators” on Prosthodontist day 2020at VSPMDCRC.
Dr Priya Gupta
  • 1 st  Prize in Paper presentation “Evaluation of risk factors and Clinical manifestation of temporomandibular joint disorders diagnosed according to RDC/TMD Axis Criteria- A case control Study” at 47 th  IPS Raipur
  • 2 nd  prize in Paper Presentation on “Color stability of maxillofacial silicones- a systematic review” at Posthocon 2019.
Dr Sumeet Jalan
  • 1 st  Prize in Poster Competition on “Awareness of oral health in geriatric people” on the occasion of International day of older persons on 1 st  of October 2020.
Dr Kalyani Deshmukh
  • 3 rd prize on short implants for Paper Presentation on “Atropic mandibular and maxillary ridges- a systematic review” on 48 th IPS National Conference, 3-6 th December 2020 Nagpur.
  • 1 st Prize in intercollegiate Debate Competition on “Facebow transfer” on Prosthodontist day 2020 at VSPMDCRC.
  • Budding Prosthodontist Award by IPS Nagpur Branch, 13 th March 2022
  • Highest in College for Final MDS Theory Examination and 3 rd Highest in MUHS Nashik University for Final MDS Theory Examination 19 th September 2022.
Dr Twinkle Hatmode
  • 3 rd prize on short implants for Paper Presentation on “Atropic mandibular and maxillary ridges- a systematic review” on 48 th IPS National Conference, 3-6 th December 2020 Nagpur.
  • 2 nd prize on “practicing yoga in Covid 19” on International yoga day 2020.
  • 1 st Prize in E-poster on” Quality of Life in Geriatric Patients: Various factors to consider” on the occasion of International Day of Older Person-1 st October 2021.
  • Book published titled “Sleep Disorders: Sleep Apnoea and its Prosthodontic Management” in LAP Lambert Academic Publishing (ISBN-13: 978-6203307658) on 1 st Feb 2021
Dr Jyoti Sharma
  • 2 nd  prize on “practicing yoga in Covid 19” on International yoga day 2020.
Dr. Jayesh Shinde
  • 3 rd  Prize in Poster Competition on “Awareness of oral health in geriatric people” on the occasion of International day of older persons on 1 st  of October 2020.
Dr. Shreyasi Jogi
  • 1st prize in Poster Competition on National Voluntary Blood Donars day on 1st of October 2020.
  • Best in Session for Table Clinic Presentation on” EVAC AERO: The modified extraoral high volume evacuator” at 48th IPS National conference 3rd -6th December 2020.
  • 2nd Prize in Poster Presentation at Estheticon, IPS Nagpur Branch 24th and 25th September 2022 and Prostho-Day 22nd January 2022
  • Best in session for Poster presentation “Implant Retained Auricular Prosthesis: A Boon for Retention” at 50th IPS Conference Delhi 10th -13th  November 2022
Dr Vaishnavi Banode
  • 1 st prize in Poster Competition on National Voluntary Blood Donars day on 1 st of October 2020. Best in Session for Table Clinic Presentation on” EVAC AERO: The modified extraoral high volume evacuator” at 48 th IPS National conference 3 rd – 6 th December 2020.
  • Best in session for Poster presentation “The Role of Cyborgology in Maxillofacial Prosthodontics” at 50 th IPS Conference Delhi 10 th -13 th November 2022
Dr Rohit Patil
  • Best in Session for Table Clinic Presentation on” EVAC AERO: The modified extraoral high volume evacuator” at 48 th IPS National conference 3-6 th December 2020.
  • Published book titled “Treatment Modalities for Mandibulectomy Patients” in LAP Lambert Academic Publishing (ISBN-13: 978-6204748160) on 28 th April 2022
  • Best in session for Poster presentation “Implant Retained Auricular Prosthesis: A Boon for Retention” at 50 th IPS Conference Delhi 10 th -13 th November 2022
  • F. D. Mirza Award for Poster presentation “Implant Retained Auricular Prosthesis: A Boon for Retention” at 50 th IPS Conference Delhi 10 th -13 th November 2022
Dr. Anushree Bhoge
  • 1st Prize of Best in Session for Table Clinic Presentation on” EVAC AERO: Themodified extraoral high volume evacuator” at 48 th IPS National conference 3- 6 th December 2020.
  • 2 nd Prize in E-poster on” Quality of Life in Geriatric Patients: Various factors to consider” on the occasion of International Day of Older Person-1 st October 2021.
  • Best in session for Poster presentation “Implant Retained Auricular Prosthesis: A Boon for Retention” at 50 th IPS Conference Delhi 10 th -13 th November 2022
  • Dr. Jacob Hyson Award for Best Scientific Article in JPID titled “Assessment of lifestyle of Postgraduate students and its effects on their health in Vidarbha region: A questionnaire based study” 2022-23 by Kerala State Branch
Dr.Radha Goverdhan
  • 1st Prize of Best in session for poster presentation on “4D Dynamic jaw tracking: A leap into the future.” At 24 th PG convention Dharward 4-6 th March 2022.
  • Best in session for Paper presentation “Measuring Patient’s Orofacial Appearance: Validity and Reliability of the Regional Language Orofacial Esthetic Scale” at 50 th IPS Conference, Delhi 10 th -13 th November 2022
  • Certificate for Semifinalist in Scientific Poster Presentation “Ergonomics in Dentistry” at AVISHKAR at MUHS Nashik on 19 th December 2022
Dr. Shachi Alsi
  • 1 st Prize of Best in session for poster presentation on “4D Dynamic jaw tracking: A leap into the future.” At 24 th PG convention Dharward 4-6 th March 2022.
  • 3 rd Prize in Voice of Prosthodontics, 24 th IPS PG Convention, Dharwad.
  • Best in session for Poster presentation “The Role of Cyborgology in Maxillofacial Prosthodontics” at 50 th IPS Conference Delhi 10 th -13 th November 2022
Dr. Reena Nagrare
  • Received Best in Session and Best Overall Award in Scientific Poster Presentation titled: “Anodising Technique to Improve Esthetics” at 26th IPS Post Graduate Convention, organized by Saveetha Dental College and Hospital, Chennai, Tamilnadu from 5th-7th April 2024.
  • Best in session for paper presentation “The delicate art of fractured screw removal from a fixture: A review and case report” at Sciverse, Ranjeet Deshmukh Dental College and Research Centre, Nagpur 2024.
  • Best in session for paper presentation ‘measuring patients orofacial appearance validity and reliability of regional language orofacial esthetic scale’ at 50th IPS Delhi Conference 2022.
Dr. Krutika Borle
  • Awarded Short Term Research Grant (Rs. 10,000/-) for research topic “Assessment of pH of saliva of Oral Precancerous and Cancerous patients with APJ-17-Biosensor based pH Meter- An observational analytical study” from MUHS Nashik 16 th June 2023
Dr Shrushti Ghagas
  • Best in Sessionand 2nd Best Overall Scientific Table Clinic Presentation Award titled: “Biofeedback: A Novel Approach for Treating Bruxism” at 26th IPS Post Graduate Convention, organized by Saveetha Dental College and Hospital, Chennai, Tamilnadu from 5th-7th April 2024.
  • 2nd Prize in Scientific Paper Presentation titled: “Antimicrobial Dentures: As Distinct as your smile” at NIDACON 2024 Organized by IDA, Nagpur Branch in association with AIIMS, Nagpur at AIIMS Nagpur on 17th & 18th February 2024.
Dr Shreya Kukreja
  • Best in Sessionand 2nd Best Overall Scientific Table Clinic Presentation Award titled: “Biofeedback: A Novel Approach for Treating Bruxism” at 26th IPS Post Graduate Convention, organized by Saveetha Dental College and Hospital, Chennai, Tamilnadu from 5th-7th April 2024.
Dr Shikha Chhangani
  • Best in Sessionand 2nd Best Overall Award in Scientific Table Clinic Presentation titled: “Biofeedback: A Novel Approach for Treating Bruxism” at 26th IPS Post Graduate Convention, organized by Saveetha Dental College and Hospital, Chennai, Tamilnadu from 5th-7th April 2024
Dr. Abhishek Torane
  • Received Best in Session and Best Overall Award in Scientific Poster Presentation titled: “Anodising Technique to Improve Esthetics” at 26th IPS Post Graduate Convention, organized by Saveetha Dental College and Hospital, Chennai, Tamilnadu from 5th-7th April 2024.
Dr. Utkarsh Ande
  • Received Best in Session and Best Overall Award in Scientific Poster Presentation titled: “Anodising Technique to Improve Esthetics” at 26th IPS Post Graduate Convention, organized by Saveetha Dental College and Hospital, Chennai, Tamilnadu from 5th-7th April 2024.
  • Received 2nd prize in the interdisciplinary paper presentation category at INTERLINK 2024 held at GDC Nagpur on 30th July 2024.
  • Received best in session for paper presentation titled- “Provisionalization of full arch implant supported prosthesis: An evidence synthesis and case reports” at 27th IPS PG convention 2025 held at SGT University, Gurugram.
Dr. Priyanka Jain
  • Received second prize for paper presentation at AVEG 2024 held in RDDC and RC Nagpur.
  • Received best in session for paper presentation titled- “Provisionalization of full arch implant supported prosthesis: An evidence synthesis and case reports” at 27th IPS PG convention 2025 held at SGT University, Gurugram.
Dr. Sandeep Khavane
  • Received 1st prize in Poster Presentation Titled –“Oral Stereognosis -An Important Tool To Evaluate The Neurosensorial Ability Of Partially And Completely Edentulous Patient– Analytical Study” in AVISHKAR -2025 held at Nashik MUHS University January 2025 .
Dr. Shubham Bhavane
  • Received best in session for table clinic presentation titled- Diagnostic Device For Evaluating Tissue Compressibility In Edentulous Patients at 27th IPS PG convention 2025 held at SGT University, Gurugram.
Dr. Sakshi Chaudhari
  • Received best in session for table clinic presentation titled- Diagnostic Device For Evaluating Tissue Compressibility In Edentulous Patients at 27th IPS PG convention 2025 held at SGT University, Gurugram.
Dr. Jayesh Taneja
  • Received best in session for table clinic presentation titled- Diagnostic Device For Evaluating Tissue Compressibility In Edentulous Patients at 27th IPS PG convention 2025 held at SGT University, Gurugram.

Department of Prosthodontics believes in promoting quality research and adding evidence-based scientific data and with this aim, every student and staff are encouraged to undertake research projects every year. Research in the areas of prosthetic rehabilitation procedures, nutrition, geriatrics, the study of edentulism, age changes of maxilla and mandible, toothwear and its effects, implants, TMJ, education technology, esthetics, maxillofacial rehabilitation, patient awareness and perception, patient satisfaction, waste management, Finite Element Analysis, materials, and equipment used in prosthetic rehabilitation are given prime importance. This year we have also initiated research in area of artificial intelligence and population with special needs. Department also focuses on conducting research on innovative teaching learning practices and inter-professional clinical trials. An effort is made to inculcate the research culture in the department. Other than the main dissertation every PG student is made to conduct two short term research in their PG course duration.

Under the guidance of the staff members of the department of Prosthodontics more than 15
students of 1st BDS, 2nd BDS and 1st MDS have applied for the thesis grants of ICMR.

Research data as on 31st June 2025: -

Completed Research Projects: 397
Ongoing Research Projects: 55
Inter-professional Research: 3
Copyrights: 23
Patents: 4
LTRG projects- 3
STRG/STS granted projects: 10

TREATMENTS

 

Esthetic rehabilitation with full ceramic veneer

Pre Treatment
Post Treatment

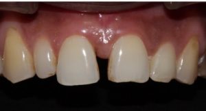
Prosthetic Rehabilitation of a mutilated anterior tooth with an implant using Partial extraction therapy

Pre Treatment
Post Treatment

Prosthetic Rehabilitation of missing anterior teeth with implants by surgical guided placement

Pre Treatment
Post Treatment

Esthetic rehabilitation with fixed partial prosthesis

Pre Treatment
Post Treatment

Prosthodontic rehabilitation of a patient with ectodermal dysplasia

Pre Treatment
Post Treatment

Prosthetic rehabilitation of a patient with maxillary protruded anterior teeth with All ceramic crown prosthesis

Pre Treatment
Post Treatment

PROSTHETIC REHABILITATION OF MISSING EAR PATIENT WITH IMPLANT SUPPORTED AURICULAR PROSTHESIS

Pre Treatment
Post Treatment

PROSTHODONTIC REHABILITATION OF A PARTIALLY EDENTULOUS PATIENT WITH IMPLANT SUPPORTED PROSTHESIS WITH FULLY DIGITAL PROTOCOL

Pre Treatment
Post Treatment

PROSTHODONTIC REHABILITATION OF POST-COVID MUCORMYCOSIS PATIENTS WITH CAST PARTIAL DENTURE

Pre Treatment
Post Treatment

PROSTHODONTIC REHABILITATION OF AMELOGENESIS IMPERFECTA PATIENT WITH DIGITAL SMILE DESIGNING

Pre Treatment
Post Treatment

Esthetic rehabilitation with implant supported prosthesis

Pre Treatment
Post Treatment

Prosthodontic rehabilitation of maxillary defect with cast partial denture

Pre Treatment
Post Treatment

Prosthetic Rehabilitation of Full Mouth Rehabilitation of a patient with multiple mutilated teeth and partial edentulism

Pre Treatment
Post Treatment

Esthetic rehabilitation of a patient with fixed partial prosthesis

Pre Treatment
Pre Treatment
Post Treatment

PROSTHETIC REHABILITATION OF PATIENT WITH ORBITAL DEFECT WITH SILICONE PROSTHESIS

Pre Treatment
Post Treatment

All Ceramic Crown

Pre Treatment
Post Treatment

Anterior Laminates

Pre Treatment
Post Treatment

Anterio Ortho Relapse

Pre Treatment
Post Treatment

Composite-1

Pre Treatment
Post Treatment

Composite Buildup

Pre Treatment
Post Treatment

Feeding Plate

Pre Treatment
Post Treatment
Post Treatment

Eye Prosthesis

Pre Treatment
Post Treatment

Finger Prosthesis

Pre Treatment
Post Treatment

Zirconia

Pre Treatment
Post Treatment

FULL MOUTH REHABILITATION

Pre Treatment
Pre Treatment
POST OP FULL MOUTH REHABILITATION 2
Post Treatment
Post Treatment

Implants

Pre Treatment
Post Treatment

Laminates

Pre Treatment
Post Treatment

Ocular Prosthesis

Pre Treatment
Post Treatment

Orbital Prosthesis

Pre Treatment
Post Treatment

Post And Core

Pre_Post Treatment
Pre_Post Treatment
Post_Post Treatment

Smile Designing

Pre Treatment
Post Treatment

Tooth Supported Overdenture

Pre Treatment
Post Treatment
Post Treatment
Post Treatment

SERVICES

 
  1. Complete Denture
  2. Removable Partial Denture (Acrylic/ Cast Partial Denture)
  3. Fixed Partial Denture (Full Metal/ Acrylic Facing/ Metal Ceramic/ All Ceramic/ Implant Prosthesis )
  4. Composite Restoration
  5. Post & Core
  6. Laminates
  7. Implant
  8. Smile Designing
  9. Full Mouth Rehabilitation
  10. Immediate Denture
  11. Overdenture
  12. Obturator (Acrylic/ Cast Partial)
  13. Templates, Splints, Stents, Feeding Plate
  14. Maxillofacial Prosthesis  ( Eye, Ear, Nose, Finger etc.)

TESTIMONIALS

 

Accessibility Toolbar

Scroll to Top