RD Dental College

RANJEET DESHMUKH DENTAL COLLEGE & RESEARCH CENTRE, NAGPUR-440019

(Formerly, VSPM Dental College and Research Centre)

Recognized by Dental Council of India, Affiliated to Maharashtra University of Health Science, Nashik

(NAAC Accredited & ISO 21001:2018 Certified)

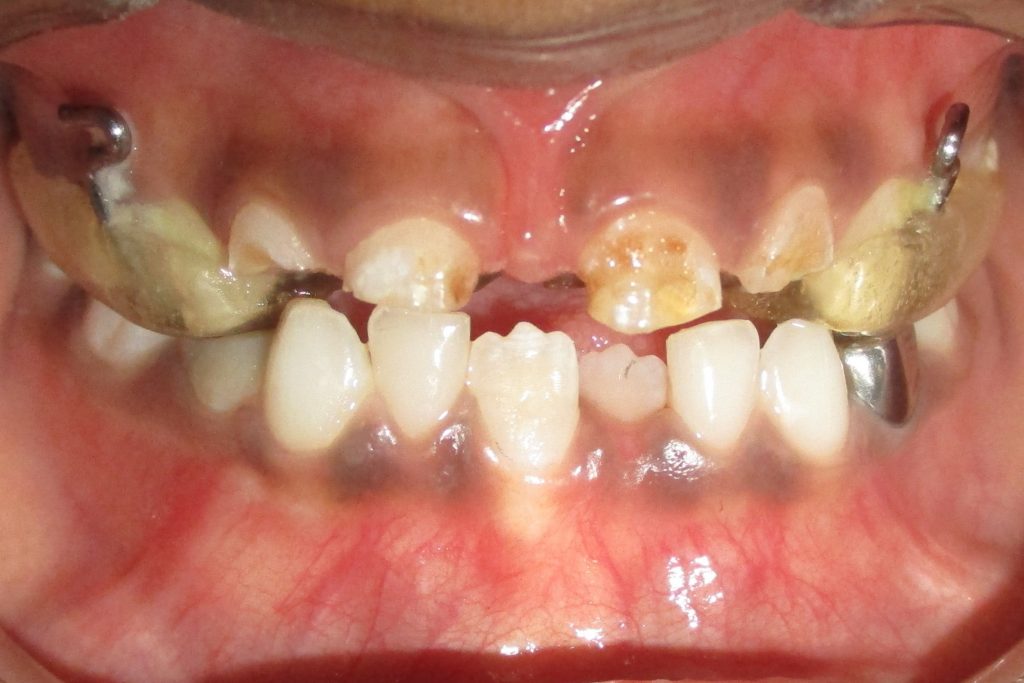
Before (Frontal)
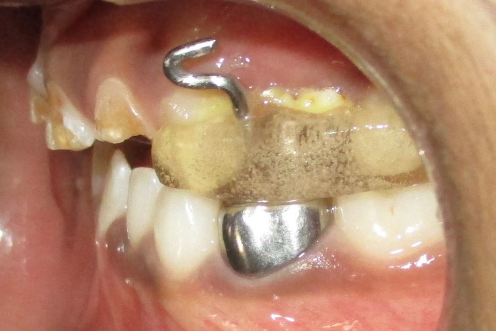
Before ( Right side)
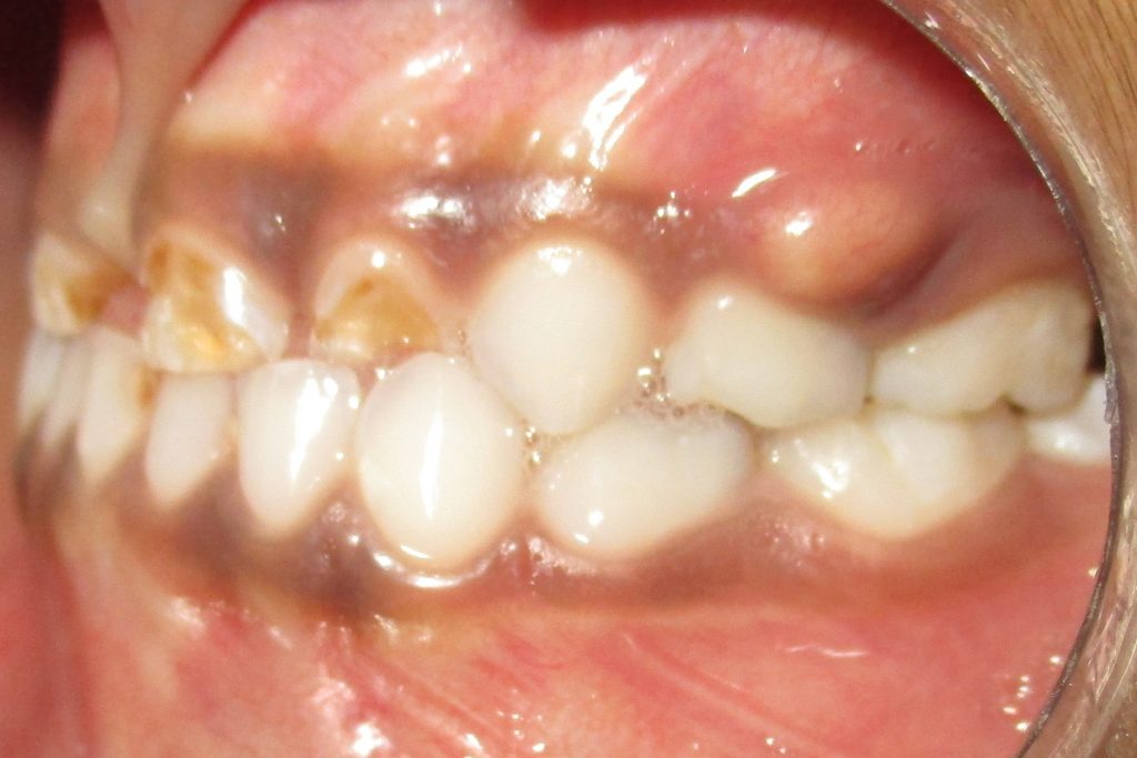
Before (left side)
Face Mask
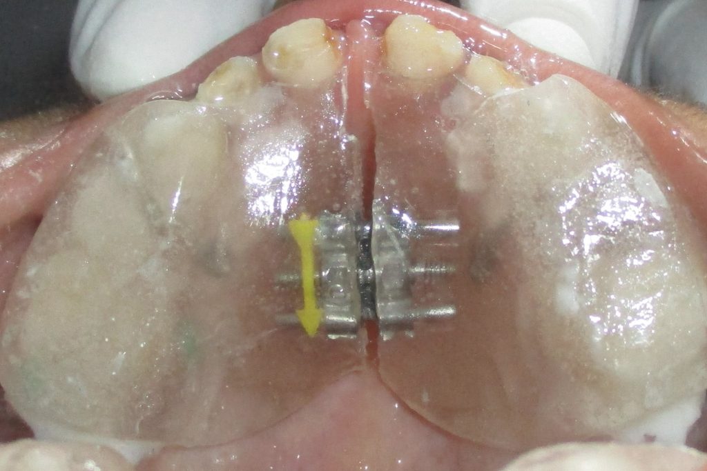
Intraoral Appliance
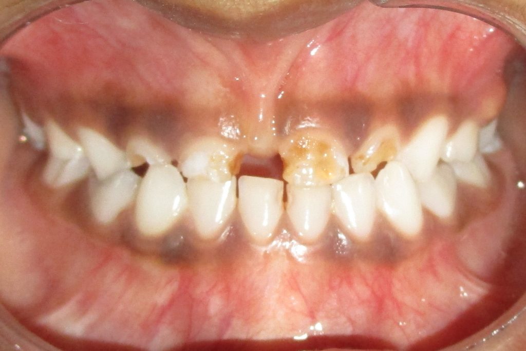
After ( Frontal)
After (Right Side)
After ( Left Side)

Accessibility Toolbar

Scroll to Top