RD Dental College

RANJEET DESHMUKH DENTAL COLLEGE & RESEARCH CENTRE, NAGPUR-440019

(Formerly, VSPM Dental College and Research Centre)

Recognized by Dental Council of India, Affiliated to Maharashtra University of Health Science, Nashik

(NAAC Accredited & ISO 21001:2018 Certified)

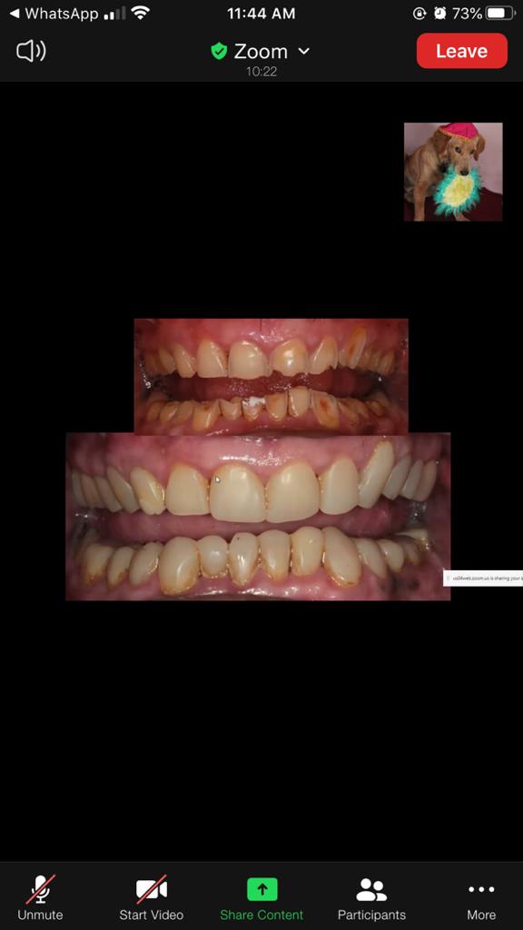
Online CDE Session on Full Mouth Rehabilitation: Evidence - Based Treatment Approach on 14th June 2020 by Dr. Debashree Chandak

14th June 2020

Prosthodontic Department at VSPM Dental college, Nagpur organised an Online CDE Session on Full Mouth Rehabilitation Evidence Based Treatment Approach on 14th June 2020.

 

Treatment modalities for FMR cases are highly promising and at times challenging for a Prosthodontist to make an optimal choice which is not only aesthetically and functionally acceptable but also economical foe the patient. In this present situation of COVID-19 pandemic when working with air rotors, risks the life of a dentist, Dr. Debashree Chandak, BDS, MClinDent Prosthodontics  London; enlightened the doctors on FMR and its evidenced based treatment approach including how composites can turn up as a miracle material. The lecture was a huge success and attended by the post graduate students of all the years and the teaching staff. Under the able guidance of Dean Dr. Usha Rake and the staff with Dr. Akhil Rathi as the moderator and properly organised by Dr. Saee Deshpande, the lecture despite being online had a huge response.

Events

Accessibility Toolbar

Scroll to Top